Presentasjon av dyptgående journaler fra spesialistkandidater i hundens og kattens sykdommer
En viktig del av utdannelsesløpet for spesialisering i hundens og kattens sykdommer er arbeidet med 20 dyptgående journaler, der kandidaten beskriver diagnostikk, behandling og oppfølging av egne kasus.
Det har vært et ønske fra SVF å presentere et utvalg av disse journalene i Norsk Veterinærtidsskrift, da de er godt skrevet og er en viktig kilde til kunnskap om forskjellige tilstander veterinærer i smådyrpraksis møter på.
I journalene skal det utarbeides problemlister med tilhørende differensialdiagnoser som er relevante for pasienten beskrevet i journalen. I diskusjonen skal diagnose(r) og andre forhold relatert til den aktuelle pasienten diskuteres. Det skal i journalen vises at etiske og dyrevernsmessige hensyn er ivaretatt, og antibiotikabehandling skal være i overensstemmelse med anbefalingene til Direktoratet for medisinske produkter.
SVF håper journalene vil være til inspirasjon for praktiserende veterinærer til hvordan en lidelse kan utredes, behandles og journalføres, og at journalene også vil inspirere flere smådyrpraktiserende veterinærer til å ta smådyrspesialistutdannelsen.
Fremre korsbåndsruptur
Forkortelser
BCS – body condition score, kroppsvekt indeks
CRI – continous rate infusion, kontinuerlig infusjon
TPA – tibial plateau angel, tibiaplatåvinkel
TPLO– tibial plateau leveling osteotomy, tibiaplatå osteotomi
IM – intramuskulær
IV – intravenøst
Datoer/steder for konsultasjonene:
1. 02.01.2024: Konsultasjon og utredning av haltet hos Henriette Bonstad Fredrikstad Dyrehospital
2. 03.01.2024: Operasjon utført av Carsten Glindø og Ole Harald Johnsen, Fredrikstad Dyrehospital
3. 16.01.2024: Kontroll og stingfjerning ved Fredrikstad Dyrehospital
4. 23.02.2024: Kontroll med røntgen ved Fredrikstad Dyrehospital
Ansvarshavende:
Hovedansvarlig: Henriette Bonstad
Medvirkende: Carsten Glindø, Ole Harald Johnsen
Signalement:
Art: Hund
Rase: Blandingsrase, Jack Russel terrier og Cavalier King Charles Spaniel
Kjønn: Tispe, intakt
Alder: 10 år på undersøkelsestidspunktet
Vekt: 7,2 kg
BCS: 6/9

Henriette Bonstad. Jeg studerte ved University of Veterinary Sciences Brno, i Tsjekkia. Jeg trivdes veldig godt der, og kunne tenkt meg flere år på skolen. Mitt nåværende arbeidssted er Fredrikstad Dyrehospital hvor jeg jobber mye med kardiologi, skopi, indremedisin og ultralydundersøkelser av buk og hjerte.
1. Hvorfor begynte du på spesialiseringen?
Jeg begynte på utdanningen fordi jeg liker å tilegne meg kunnskap, og jeg liker å kunne gi en så god behandling til dyrene som mulig - det krever kompetanse. Jeg har alltid vært glad i å studere, så det å ta en spesialistutdannelse passet meg fint.
2. Hva var mest utfordrende med spesialistutdannelsen?
Det mest utfordrende var å finne ut av hva jeg skulle lese på til eksamen.
3. Hvilken verdi har spesialistutdannelsen gitt deg i hverdagen i klinisk praksis?
Utdannelsen har gitt meg stor verdi, fordi arbeidet blir mye mer givende når forståelsen for sykdom, patologi og behandling er høyere. Det å ha god kunnskap i bunn gjør at jobben blir mer og mer gøy. Jeg stortrives i min jobbhverdag.
Journal
Anamnese:
Eier oppdaget en dag at hunden ikke ville trå på venstre bakben. Det var usikkert hvordan haltheten oppstod da eier ikke hadde sett at noe hadde skjedd med det benet. Haltheten hadde vart i fire uker før eier kom til Fredrikstad Dyrehospital. Eier hadde vært hos sin lokale veterinær som hadde undersøkt hunden og den hadde fått 10 mg robenakoksib per oralt en gang daglig i fire uker. Haltheten var fortsatt tydelig ved ankomst til klinikken, men hadde bedret seg noe i løpet av de siste dagene. Hunden var i god allmenn form og hadde god appetitt og drikkelyst. Forrige løpetid var ferdig for fire måneder siden. Hun hadde ikke vært i utlandet og var vaksinert mot Bordetella bronchiseptica, Parainfluensa, Parvovirus, Canine Adenovirus og Canine Distemper virus. Ormekur hadde sist blitt gitt da hun var valp.
Klinisk undersøkelse:
Mental status: Våken, alert og responsiv.
Stilling, holdning og bevegelse: Hun bevegde seg rundt på klinikken med god holdning, med hodet holdt i nøytral stilling, men viste tegn til halthet på venstre bakben, grad tre av fem.
Body Condition Score (BCS): 6/9, godt hold.
Hydreringsstatus: Huden i nakke var elastisk og falt tilbake uten forsinkelser.
Slimhinnene var fuktige. Øynene opplevdes ikke som innsunket. Hunden ble vurdert som godt hydrert.
Temperatur: 38,3 ºC.
Puls: Frekvens: 110 per minutt; rytmisk. Kvalitet: fyldig og jevn bilateralt.
Kapillærfylningstid: under to sekunder.
Respirasjon: 25 per minutt.
Auskultasjon av:
Lunger: Rene respirasjonslyder. Costoabdominal respirasjon uten inspiratorisk eller ekspiratorisk innsats.
Hjerte: Det ble auskultert jevn hjerterytme med en hjertefrekvens på 110 per minutt.
Inspeksjon av:
Hud/hårlag: Pelsen var myk og med glans. Det var ingen sår eller anomalier.
Munnhule: Lys rosa, mildt fuktige slimhinner. Normalt bitt. Hun hadde en del tannstein, men ingen synlige skader i munnhule.
Anus: Ingen rødme eller hevelser.
Vulva: Det var ikke tegn til blod eller puss, ingen hevelser.
Palpasjon av:
Mammae: hun hadde myke og rene jur.
Lymfeknuter: Mandibulære, preskapulære og popliteale lymfeknuter opplevdes myke og med glatt overflate, og i forventet størrelse. Andre lymfeknuter kunne ikke palperes.
Buk: Hun var indolent og myk i buken. Det kunne ikke kjennes organforstørrelser.
Nevrologisk undersøkelse av bakben: Propriosepsjon var intakt bilateralt. Patellar- og tilbaketrekningsrefleksen var intakt bilateralt. Palpering og bøying av ryggrad viste ingen tegn til smerte. Fleksjon og ekstensjon av nakke, og bøying til høyre og venstre var uten problemer.
Palpasjon av ekstremiteter: Hundens muskulatur var symmetrisk. Det var ingen tegn til smerte ved palpasjon av ledd eller rørknokler på høyre bakben. Ved palpering av venstre kneledd kunne det tydelig kjennes en fylning i leddet sammenlignet med høyre side. Det var ingen hevelser i resterende ledd hos hunden. Kollaterale ligamenter på tibiotarsalleddet virket stabile. Hunden viste tegn på ubehag ved manipulering av venstre kneledd. Patella lå stabilt i furen. Det var tydelig positiv tibia kompresjonstest og kranial skuffetest. Ved fleksjon og ekstensjon av resterende ben og ledd viste hunden ingen tegn til smerte eller ubehag.
Problemliste:
- Halthet grad tre av fem venstre bakben med hevelse i kneleddet
Differensialdiagnoser:
Halthet venstre bakben med hevelse i kneledd (1):
Traumatisk:
Fraktur av patella
Fraktur av fabella
Avulsjon av lateralhodet av gastrocnemius muskelen
Avulsjon av popliteus muskelen
Avulsjon/displacement av long digital extensor tendon
Avulsjon av tuberositas tibia
Ruptur av kranialt eller kaudalt korsbånd
Ruptur av kollateralligament
Meniskskader
Ervervet:
Osteoartritt
Immunmediert artropati
Osteosarkom
Av de overnevnte differensialdiagnosene var ruptur av det kraniale korsbåndet den mest sannsynlige diagnosen da det under klinisk undersøkelse ble påvist positiv tibia kompresjonstest og kranial skuffetest. For å utelukke at det ikke var andre sykdomstilstander ved kneleddet, var vi nødt til å gå videre med bildediagnostikk.
Tilleggsundersøkelser:
Hunden ble sedert med 5 µg/kg dexmedetomidin og 0,13 mg/kg metadon intramuskulært (IM) for røntgenundersøkelse av begge kneledd (figur 1 - 4, vedlegg 1 - 4). Det var viktig å bekrefte mistenkt patologi i kneleddet og for å utelukke andre patologier som fraktur og neoplasi. Det ble plassert et venekateter i høyre frambein og hun ble indusert med propofol 1 mg/kg intravenøst (IV). Begge kneledd ble palpert og undersøkt under bedøvelse. Det var tydelig at kneet var ustabilt med en sterk positiv kranial skuffetest og tibia kompresjonstest.
Røntgen (vedlegg 1 – 4):

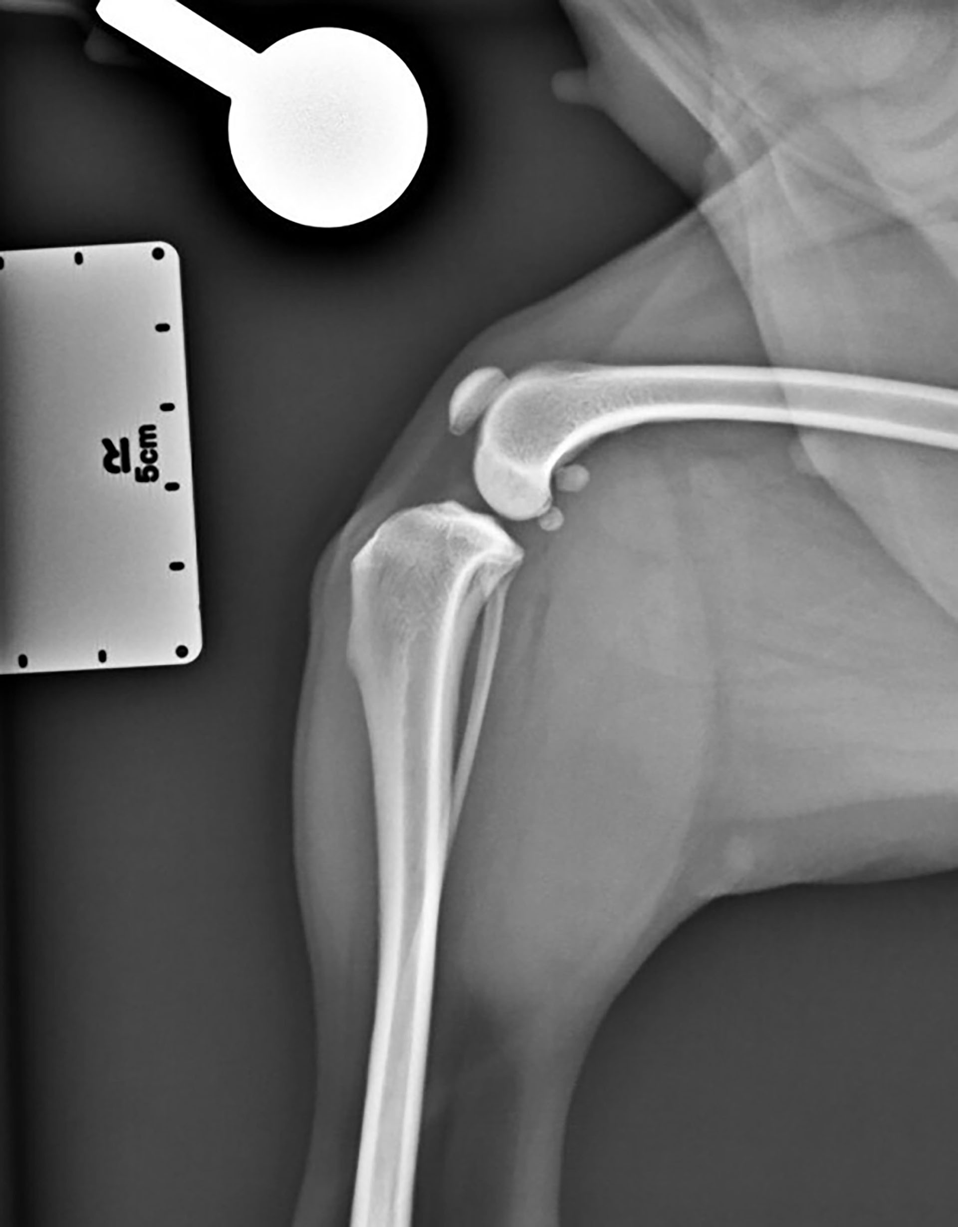
Figur 1. Laterolateral projeksjon av venstre kne og haseledd. I venstre kneledd var det tydelig effusjon (rød pil), og osteofyttdannelse på patellas apex og femoral ridge (gule piler).

Figur 2. Laterolateral projeksjon av høyre kneledd uten tegn til effusjon.

Figur 3 og 4. Kraniokaudal projeksjon av venstre og høyre kneledd og haseledd. I venstre kneledd var det tegn på effusjon (pil).
Tolkning av røntgenbilder:
Laterolateral projeksjon og kraniokaudal projeksjon av hundens høyre og venstre kneledd, tibia, fibula og tarsalledd var tilgjengelig for vurdering. Kvaliteten på bildene var akseptabel. Det ble funnet tydelig effusjon i venstre kneledd med et brattere tibiaplatå enn ved høyre kne. Venstre kne hadde tegn på osteofyttdannelse på apex patella og femoral ridge som tydet på tidlig osteoartoseforandringer. Tibiaplatå vinkelen (TPA) ble målt til 26,2 grader. Denne vinkelen måles mellom en perpendikulær linje til lengdeaksen av tibia og en linje parallell til tibiaplatået. En større tibiaplatåvinkel resulterer i større kranial kraft av tibia under vektbæring. Det kunne ikke påvises annen patologi utifra disse bildene.
Eier ble informert om at hunden hadde røket det kraniale korsbåndet og kirurgisk behandling var anbefalt for å stabilisere leddet og redusere smertene relatert til sykdommen. Det ble også anbefalt en artroskopi av venstre kneledd for fullgod evaluering av synovium, leddbrusk, kraniale og kaudale korsbånd og menisken. Det er rapportert at meniskskade oppstår hos 30 – 80 % av hunder med korsbåndsskade (2). Eier var innenforstått med hva det kirurgiske inngrepet gikk ut på og var forbedredt på å få hjem en hund som hadde behov for opptrening i etterkant. Informasjon om mulige komplikasjoner som infeksjon, meniskskade, fraktur, implantat svikt og skrueløsning ble gitt i forkant av operasjonen. Risiko for komplikasjoner var lav (3, 4).
Diagnose:
Basert på anamnesen, de kliniske tegnene til hunden og diagnostikken som hadde blitt utført ble hunden diagnostisert med fremre korsbåndsruptur i venstre kne.
Prognose:
Prognosen til denne hunden med kirurgisk behandling ble ansett som god.
Behandling:
Hunden skulle få utført en tibial plateau leveling osteotomy (TPLO) som nå er den mest anbefalte kirurgiske korreksjonen for hunder med kranial korsbåndsruptur (5). Tibiaplatåvinkelen ble målt til 26,2 grader og det ideelle var å få TPA postoperativt ned til fem grader (5). Det ble utført mål for osteotomien ved hjelp av et digitalt ortopedisk planleggingsverktøy. Hunden ble fastet i 12 timer før operasjonen, og ble vurdert til en ASA score 1 da hun var frisk og uten kjente sykdommer. Hun ble sedert med 0,015 mg/kg acepromazin, 0,4 mg/kg metadon og 0,2 mg/kg midazolam IM. Det ble lagt inn et veneflon i vena cephalica, og hunden ble indusert med 4,1 mg/kg propofol IV. Hun ble intubert med tubestørrelse seks og ble lagt på inhalasjonsanestesi med oksygen og sevofluran 2,5 %. Det ble lagt nerveblokk ved isjiasnerven med totalt 0,7 ml marcain 2,5 mg/ml og ved femoralis nerven med totalt 1,4 ml marcain 2,5 mg/ml. Infiltrasjonsanestesi ble lagt ved hudsnitt med totalt 1 ml lidokain 20 mg/ml.
Operasjonsområdet ble kirurgisk preparert, vasket med hibiskrub og vann, og desinfisert med klorhexidinsprit. Hunden ble ventilert og overvåket under operasjonen med kapnograf, EKG, SpO2 måling, blodtrykksmåling og temperatur. Det ble gitt 0,4 mg/kg ketamin IV som videre smertelindring. Pasienten fikk også continous rate infusion (CRI) med fentanyl 3 µg/kg/time, og ble koblet på væske med ringer acetat 5 ml/kg/time. Totalt ble det gitt 36 ml ringer-acetat IV perioperativt.
Det ble først utført en eksplorativ artroskopi av venstre kneledd med et 4.0 millimeter skop. Det ble brukt en Leipzig distractor for å bedre artroskopisk vurdering av menisken. Det ble tydelig visualisert at det kraniale korsbåndet var røket (Figur 5), men det kaudale korsbåndet og menisken var uten patologi. De frynsete endene av det kraniale korsbåndet ble debridert med en torpedo shaver.

Figur 5. Artroskopisk bilde av røket korsbånd.
Et kraniomedialt hudsnitt ble lagt like over nivå med patella til den proksimale tredjedelen av tibia. Muskelfeste til gracilis og semitendinosus, og kaudale del av sartorius ble elevert fra proksimale mediale tibia. Det mediale, kollaterale ligamentet ble holdt intakt. En jig ble plassert på mediale tibia med pinner for å veilede osteotomien i saggitalplan og parallelt til det rette patellarligamentet. Et 12 millimeter sagblad ble brukt for osteotomien. Proksimale tibia ble rotert og en TPLO-plate ble fiksert med tre låseskruer med 2,0 og 2,5 millimeter i diameter i det proksimale fragmentet. I dynamisk kompresjonsplate-hullet ble det plassert en skrue med 2,0 millimeter i diameter og 2 låseskruer i distale delen med 2,5 millimeter i diameter. Crural fascie ble lukket forløpende med enkel sutur med PDS 3-0. Subkutis ble lukket med enkel fortløpende sutur med biosyn 4-0. Huden ble suturert med korssting med novafil 4-0.
Sevofluranfordamper og ventilator ble skrudd av og pasienten pustet selv. Hunden ble ekstubert ved oppvåkning. Det ble gitt 1 mg/kg maropitant subkutant mot kvalme og 2 mg/kg robenakoksib subkutant mot smerte. Såret ble vasket og det ble lagt på et mepore plaster. Et fentanyl depotplaster 12 µg/time ble påsatt på høyre flanke. Det ble gitt fentanyl CRI etter operasjonen da plasteret ikke hadde effekt før etter 12 timer. Postoperativt ble det utført røntgenbilder av kneleddet (Figur 6 og 7).

Figur 6. Kraniokaudal projeksjon av kneledd postoperativt med plate og skruer.

Figur 7. Laterolateral projeksjon av venstre kne postoperativt.
Røntgenbildene viste tilfredsstillende resultat med TPA på fem grader. Det var tilfredsstillende osteotomiorientering, kompresjon, plateplassering og skruelengder. Hunden ble værende på hospitalet til dagen etter. Hun fikk fentanyl CRI i en rate på 3 µg/kg/time og intravenøs væske i form av ringer acetat 2 ml/kg/time. I løpet av natten ble fentanyl CRI titrert ned til 2 µg/kg/time. Hunden var i god form dagen etter operasjonen, spiste med god appetitt, og hadde en temperatur på 37,6 ˚C. Hun var respiratorisk og sirkulatorisk stabil og reiste hjem til eier denne dagen. Hun tok litt støtte på benet, og godtok å manipulere med det. Huden rundt operasjonssåret hadde mild erytem og mildt ødem. I tillegg til smerteplasteret hun hadde på seg fikk hun også robenakoksib 1 mg/kg (totalt 10 mg) som ble gitt per os en gang daglig i fire uker. 14 mg/kg gabapentin per os to ganger daglig ble gitt som ekstra smertelindring den første uken. Det ble satt opp kontroll med stingfjerning 14 dager etter operasjonen, og røntgenkontroll var planlagt seks uker etter operasjonen. Hunden ble holdt i ro frem til røntgenkontrollen. Fentanylplasteret ble fjernet tre dager senere.
Kontroll dag 51:
Røntgenkontrollen skulle egentlig bli utført seks uker etter operasjonen, men hadde blitt utsatt grunnet sykdom hos eier. Hunden var i god allmenn form og hadde også hatt det veldig fint ukene før kontrolltimen. Hun hadde fått 1 mg/kg robenakoksib per os en gang daglig. Matlyst og drikkelyst var som det pleide å være. Hunden hadde jevn og fin respirasjon. Auskultasjon av hjertet ble utført og hun hadde jevne, rytmiske hjerteslag med en samsvarende puls. BCS ble estimert til 6/9, vekten var stabil. Slimhinnene var rosa og fuktige med en kapillærfylningstid på ett sekund. Temperaturen var 38,4 ˚C. Hunden trådde fint på begge bakben og viste ingen tegn til halthet. Hun ble sedert med 5 µg/kg dexmedetomidin og 0,1 mg/kg butorfanol intramuskulært for røntgenkontroll (Figur 8 og 9).

Figur 8. Laterolateral projeksjon av venstre kneledd.

Figur 9. Kraniokaudal projeksjon av venstre kneledd. Platen sitter godt med skruer (pil).
Vurdering av røntgenbilder: Bilder som var tilgjengelig for vurdering var laterolateral projeksjon og kraniokaudal projeksjon. Kvaliteten av bildene var tilstrekkelig. Platen satt godt og skruene var korrekt plassert slik som de var postoperativt. Det var tegn på god heling av osteotomien med mild kallusdannelse.
Plan videre for denne hunden var å øke turlengdene med 20 til 30 minutter uken etter, deretter øke turene med fem minutter per uke i bånd. Hunden kunne gå løs om seks til åtte uker. Medisiner ble seponert. Vi anså dette som en vellykket operasjon, og hunden var smertefri.
Diskusjon:
Denne pasienten ble henvist til Fredrikstad dyrehospital grunnet halthet. Den ble diagnostisert med kranial korsbåndsruptur på venstre bakben. Hunder med korsbåndsruptur kan presenteres med akutt skade eller kronisk skade, med delvis eller fullt røket korsbånd. En ikke traumatisk ruptur av det kraniale korsbåndet er en vanlig årsak til bakbenshaltet hos hund (5, 6). Denne sykdommen affekterer flere ulike raser, men den høyeste prevalensen er hos raser som Rottweiler, Newfoundlandshund og Staffordshire terrier. Tisper er mer utsatt enn hannhunder (2).
Denne pasienten var en tispe som var blanding av Jack Russel og Cavalier King Charles Spaniel. Pasienter med akutt korsbåndsruptur presenteres ofte med ikke vektbærende halthet og kan ha vanskelig for å sette seg ned på vanlig måte. De vil ofte sitte i en stilling med det affekterte benet ut til siden. Etter to til tre uker, når inflammasjonen går ned, vil haltheten avta noe uten behandling (7). Denne hunden hadde vist tegn på ikke vektbærende halthet og var hos henvisende veterinær først. Den kom til hospitalet etter fire uker og var fortsatt halt, men hadde blitt litt bedre.
Skade på det kraniale korsbåndet er en vanlig sykdom hos hund og den høye insidensen antyder at det er en degenerering av korsbåndet i de fleste tilfeller som predisponerer for traumatisk ruptur (6, 8). Det var mest sannsynlig det som var årsaken til ruptur av korsbåndet hos denne pasienten. Degenerering av korsbåndet er assosiert med risikofaktorer som vekt, rase, kjønn, konformasjonelle abnormiteter som svært rette bakben og immunmedierte artropatier (6). Det fremre korsbåndet fungerer primært som en stopper for kranial bevegelse av tibia i forhold til femur, og inhiberer intern rotasjon av tibia. Ligamentrupturen skjer oftest ved hyperekstensjon og intern rotasjon av benet som kan skje når hundens ben blir sittende fast i et hull eller et gjerde. Det kan også oppstå hvis hunden hopper slik at kraften til tibial kranial thrust overstiger styrken på ligamentet. Hvis det er en ligamentdegenerering til stede, kan normal aktivitet forårsake progressiv ruptur. I de fleste tilfeller er det en underliggende patologi i disse ligamentene som gjør at hunder har bilateralt korsbåndsruptur eller vil med stor sannsynlighet få ruptur i det kontralaterale ligamentet innen ett til to år etterpå. Eier ble informert om at det er sannsynlig at hunden må opereres for ligamentskade i høyre kne senere.
Ved klinisk undersøkelse av denne hunden kunne vi kjenne hevelse medialt for kneleddet, og en positiv kranial skuffetest og tibia kompresjonstest. Det kunne kjennes i både våken og sedert tilstand. Hun viste også tydelig ubehag ved manipulering av leddet. En kranial skuffetest vil si en overdreven kraniokaudal bevegelse av tibia og femur. Når en tibiakompresjonstest utføres hos en hund med korsbåndsskade vil tibial tuberosity beveges kranialt når hasen er i fleksjon og gastrocnemius muskelen kontraherer. Ved korsbåndsskade vil bildediagnostikk hjelpe med å utelukke andre årsaker til bakbenshaltet og er nødvendig for planlegging av en TPLO operasjon. Det ble utført en røntgenundersøkelse av denne hunden etter klinisk undersøkelse av både høyre og venstre bakben. Radiografiske forandringer som kan sees ved ruptur av korsbåndet og kronisk skade er tap av intrapatellar fettpute skygge, ekstensjon av den kaudale leddkapselen på grunn av leddeffusjon og osteofyttdannelse ved trochlear ridge, tibia kondylene, intercondylar notch og distale del av patella. Det var tydelig tap av intrapatellar fettpute skygge, leddeffusjon og osteofyttdannelse på røntgenbildene av venstre bakben hos denne hunden. En god del av overflaten til korsbåndet kan bli eksaminert ved hjelp av artroskopi. Det som kan sees er ruptur av korsbåndet, fibrillering, og fargeforandringer. Meniskene kan også bli vurdert. En artroskopisk undersøkelse er en minimal invasiv teknikk som gir en grundig vurdering av kneleddet, i tillegg er det en stor fordel med god belysning og forstørrelse av strukturene. Det ble utført på denne pasienten, hvor det tydelig kom frem at det kraniale korsbåndet var helt røket av. Det kaudale korsbåndet og menisken var ikke affisert. Artroskopi er gullstandard for vurdering av ledd (2).
Kirurgisk behandling utført med TPLO-metoden ble anbefalt hos denne pasienten for best mulig prognose. Preoperativ planlegging var viktig for et godt resultat. Denne pasienten hadde en TPA på 26,2 grader preoperativt og 5 grader postoperativt. En korsbåndsskade med kneinstabilitet vil starte en kaskade av patologier som progressiv osteoartritt og medial meniskskade. Med kirurgisk behandling blir kneet mer stabilt, men progressiv osteoartritt skjer etter ruptur uansett behandlingsalternativ (8). Behandlingen av denne pasienten viste et vellykket resultat.
Referanser:
Hamish R. Denny SJB. The stiftle, A guide to canine and feline orthopaedic surgery: 4th edition, Blackwell science; 2000, 512 - 553.
Spencer A. Johnston KMT. Stifle joint, Veterinary surgery small animal 2nd edition, Elsevier; 2018, 1071 - 1139.
Bergh M, Peirone B. Complications of tibial plateau levelling osteotomy in dogs. Veterinary and Comparative Orthopaedics and Traumatology. 2012;25(05):349-58.
Fitzpatrick N, Solano MA. Predictive variables for complications after TPLO with stifle inspection by arthrotomy in 1000 consecutive dogs. Veterinary surgery. 2010;39(4):460-74.
Nanda A, Hans EC. Tibial Plateau Leveling Osteotomy for Cranial Cruciate Ligament Rupture in Canines: Patient Selection and Reported Outcomes. Veterinary Medicine: Research and Reports. 2019;10(null):249-55.
Comerford E, Smith K, Hayashi K. Update on the aetiopathogenesis of canine cranial cruciate ligament disease. Veterinary and Comparative Orthopaedics and Traumatology. 2011;24(02):91-8.
Jerram R, Walker A. Cranial cruciate ligament injury in the dog: pathophysiology, diagnosis and treatment. New Zealand Veterinary Journal. 2003;51(4):149-58.
Fossum TW. Diseases of the joints, small animal surgery 2013, 1323 - 1342.