Forstyrrelser i utvikling av plommesekk hos laksefisk
I settefiskproduksjon observeres det ikke sjelden tilfeller med utfordringer i klekkerifase uten mistanke om smittsom sykdom eller kjente produksjonslidelser. Ved tilsyn av plommesekkynglene er typiske utfordringer ujevn klekking, avvikende kroppsform samt ulike deformiteter i plommesekkregionen.
Veterinær PhD og histopatolog, PatoGen AS
Veterinær, Leder fiskehelse Norge, PatoGen AS
Veterinær PhD og histopatolog, PatoGen AS
Coagulative Yolk Disease (CYD) og andre ikke-smittsomme plommesekkavvik er tilstander som er godt kjent i settefiskproduksjon, men likevel overraskende mangelfullt beskrevet i litteraturen. Næringen etterspør forskning som i større grad er tilpasset produksjon, med søkelys på årsaker, konsekvenser og praktisk håndtering av utfordringene. I tillegg fremheves betydningen av tydelig og anvendbar formidling, slik at kunnskapen kan komme til praktisk nytte for anleggspersonell. Det er behov for en helhetlig forståelse og beskrivelse av produksjonsrelaterte lidelser i settefiskfasen.
Plommesekkdeformiteter hos laksefisk
Plommesekken fyller normalt det meste av lakseegget og er omgitt av vitellinmembranen, men etter organogenesen befinner plommesekken seg i fosterets bukhule. Til tross for at de ulike delene av fordøyelseskanalen kan identifiseres morfologisk allerede én uke etter klekking (1), er plommemassen hovednæringskilde for yngelen før startfôring, inneholdende glykogen, proteiner, lipoproteiner og tilhørende enzymer for fordøyelse av disse næringskildene (2). Histologisk fremstår plommemassen homogen, intenst eosinofil (Figur 1a) og kan inneholde en eller noen få tilsynelatende tomme vakuoler, som kan ha inneholdt fett (Figur 1b) (2). Overflaten av plommesekken er dekket av en tynn, multinukleær membran (vitelline syncytium) med plommesekkvener (Figur 1b) (3). Plommesekken tilbakedannes gradvis og vil til slutt bestå av rester av blodkar i bukhulen bak septum transversum omgitt av en fortykket plommesekkmembran, angitt å kunne bestå i alle fall tre uker etter at plommemassen er resorbert (4). Hvordan plommemassen metaboliseres hos laks er ikke kjent i detalj, men teleoster er antatt å ta opp plommemasse gjennom syncytiet, uten involvering av tarm, som er i kontrast til histologiske observasjoner av plommemasse i tarminnholdet allerede en uke etter klekking (1). Klinisk observasjon av resorbert plommesekk brukes ofte i settefiskproduksjon for å planlegge tidspunkt for startfôring.

Figur 1a. Histologisk snitt av plommesekkyngel med normal størrelse på plommesekken. Plommemassen fremstår homogent eosinofil (blå pil). Hematoksylin-eosin-safranin (HES) farging.
Foto: Patogen AS

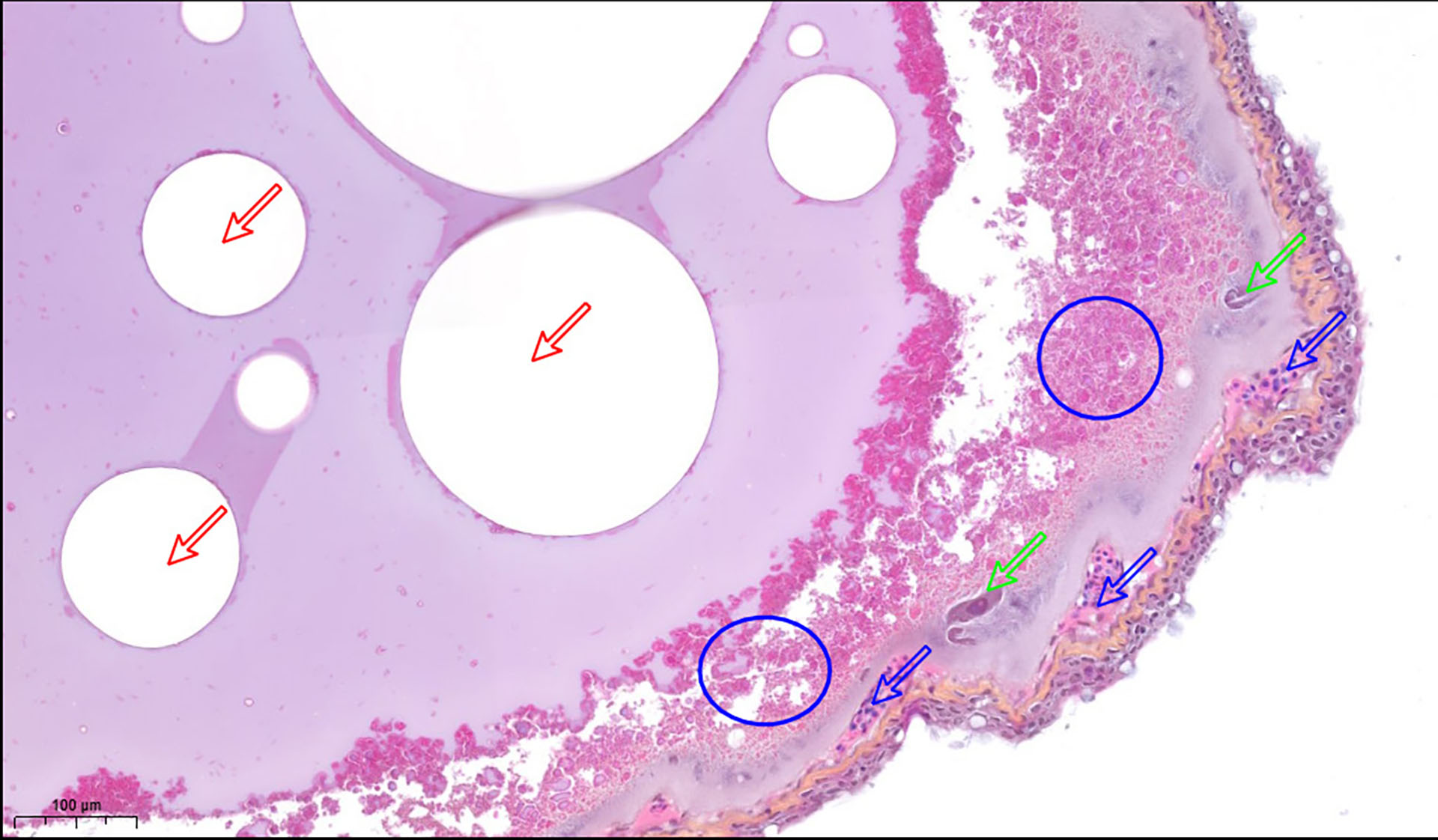
Figur 1b. Høyere forstørrelse av innrammet område i Figur 1a. Den proteinrike plommemassen inneholder flere vakuoler (røde piler) som kan ha inneholdt fett. Plommemassen er dekket av vitelline syncytium med blodkar (blå piler) og cellekjerner (grønne piler). Det mer granulerte utseendet til plommemassen nær syncytiet (blå sirkler).
Foto: Patogen AS
En rekke ikke-infeksiøse årsaker er angitt å kunne føre til makroskopiske avvik i plommemassen og økt dødelighet hos yngel. Disse avvikene kan manifestere seg som ulikheter i farge og konsistens på plommemassen, mangelfull resorpsjon, blødninger i plommesekken, deformiteter, avsnøringer og ujevn utvikling. Erfaringer fra felt viser at slike avvik kan ha betydelige konsekvenser for utvikling av atlantisk laks på settefiskstadiet. En tilstand med synlig deformasjon og kaudal avsnøring av plommesekken, kalt «dumbbell yolk sac», er beskrevet hos ørret og assosiert med avvikende vannkvalitet (5). Rupturerte plommesekker med funn av plommemasse i bukhulen, blodkar, leverceller og urinveier ble identifisert som hovedårsak til dødelighet hos pukkellaks (Oncorhynchus gorbuscha) yngel i Alaska på 90-tallet (6). Kliniske observasjoner av hvite flekker i plommesekken, som normalt skal være gjennomsiktig, danner ofte grunnlag for diagnosen «Coagulated yolk disease (CYD)» eller «white spot disease», en sykdom som er kjent siden 1800-tallet og sporadisk omtalt i litteraturen siden midten av 1900-tallet hos ulike laksefisk (7,8). Flekkene er ofte tolket som tegn på koagulering eller denaturering av lipoproteiner (9), mulig relatert til utfordringer med vannkvalitet (10) eller stress, ytre påkjenninger eller skader på egget (11), gassboblesyke eller maternalt overført tiaminmangel (12). Diagnosen Blue Sac Disease stilles ofte i tilfeller hvor plommesekken er oppsvulmet og blålig misfarget grunnet væskeansamling mellom plommesekken og bukveggen (13,14). Sykdommen har blitt relatert til høyt ammoniakknivå eller endringer i pH (10) samt stress (11).

Figur 2a. Histologisk snitt av yngel med lang og tynn kroppsform og innsnevring i nakkepartiet (øvre pil), samt avsnøring av en del av plommesekkmassen (innrammet). HES farging.
Foto: Patogen AS

Figur 2b. Høyere forstørrelse av Figur 2a som viser ventral avsnøring av en del av plommesekk med tegn på vakuolisering, varierende tetthet og struktur på plommemassen (pil).
Foto: Patogen AS
Ved histologisk undersøkelse av yngel med makroskopisk avvikende plommesekk er det ikke uvanlig at det også påvises patologiske forandringer i andre organer. En tynnere kroppsform enn forventet med deformiteter som innsnevringer i nakke og haleparti kan ofte observeres (Figur 2a). Fiskene kan også ha et område med tilsynelatende manglende frontalbein i kraniet, som kan indikere begynnende utvikling av «isseknott/cranial nodules» (15), en tilstand med varierende grad av fremfall av hjernevev ut av kraniet. Plommesekken kan fremstå betydelig større enn normalt, med deler av plommemassen delvis til fullstendig avsnørt fra resterende masse. Den avsnørte delen kan være forbundet med resten av plommesekken med en stilket struktur omgitt av hud og bindevev ventralt på buken (Figur 2a og b), forenlig med tilstanden «dumbbell yolk sac» (5).

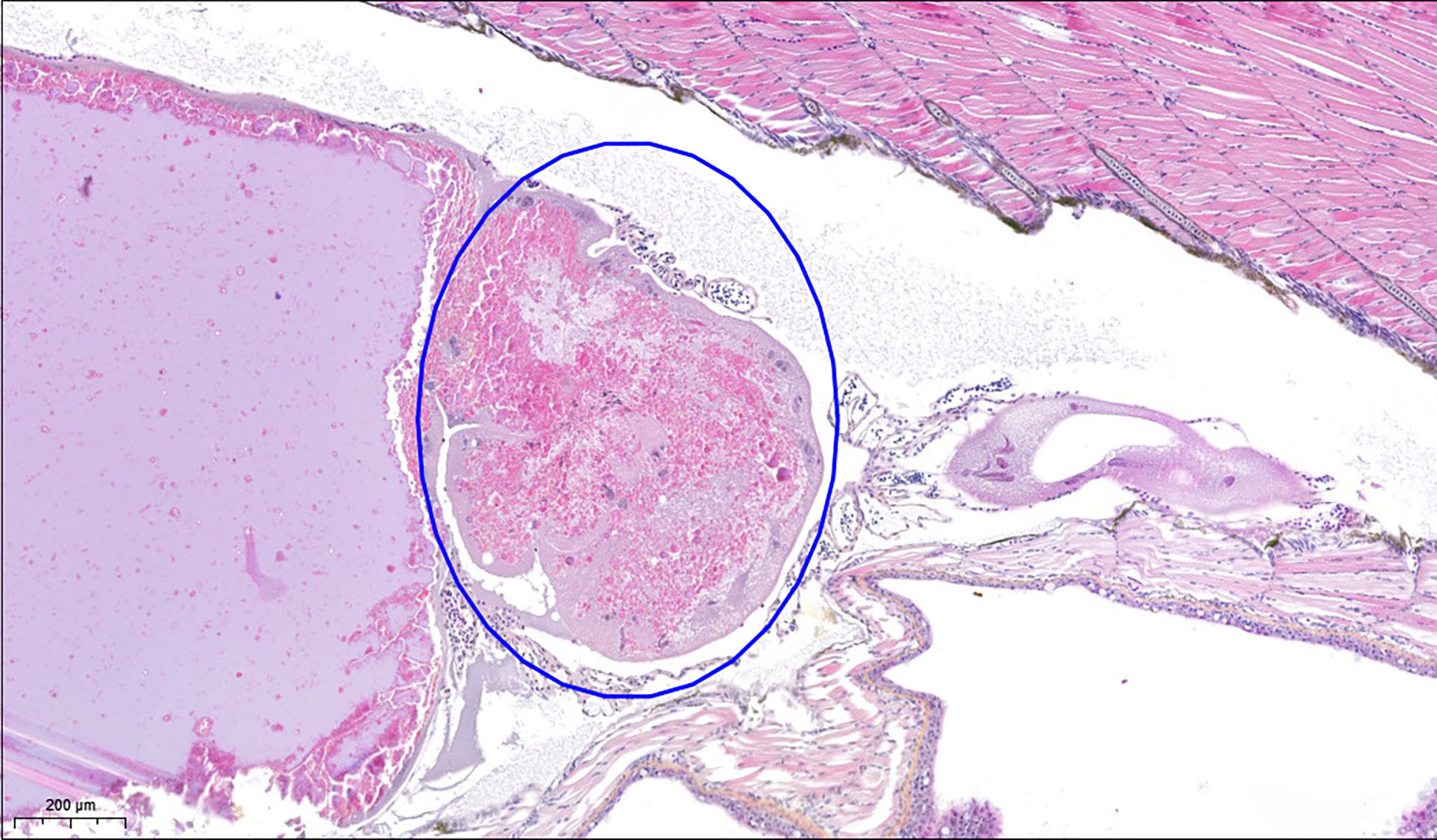
Figur 3a. Histologisk snitt av yngel. I den øverste yngelen er det opphopning av eosinofil væske (grønn pil) i bukhulen (ascites). Den nederste yngelen har en innsnevring i nakkepartiet (blå pil). I begge ynglene sees det områder med plommemasse med varierende tetthet og struktur (sirkler), trolig tegn på koagulering. HES farging.
Foto: Patogen AS

Figur 3b. Høyere forstørrelse av Figur 3a (nederste yngel) som viser en del av plommemassen med ujevn farging og tetthet (sirkel), trolig tegn på koagulering. HES farging.
Foto: Patogen AS
Plommemassen kan inneholde dårlig avgrensede områder med økt tetthet og eosinofili, vakuolisering og tegn på koagulering av plommemassen forenlig med CYD (Figur 3a og b), men det er uklart definert hvor grensen går mellom normalvariasjon og sikre patologiske forandringer. I alvorlige tilfeller av CYD kan det sees opphopning av eosinofil væske i bukhulen (Figur 3a) samt diffuse ansamlinger med eosinofilt granulært materiale interstitielt i nyret (Figur 4). Det er også observert eosinofil misfarging av brusk (Figur 5) hos affisert fisk, et usikkert funn som kan være relatert til tilstanden eller ha andre årsaker.

Figur 4. Histologisk snitt av nyre som viser eosinofilt granulært materiale (piler) i interstitiet. HES farging.
Foto: Patogen AS

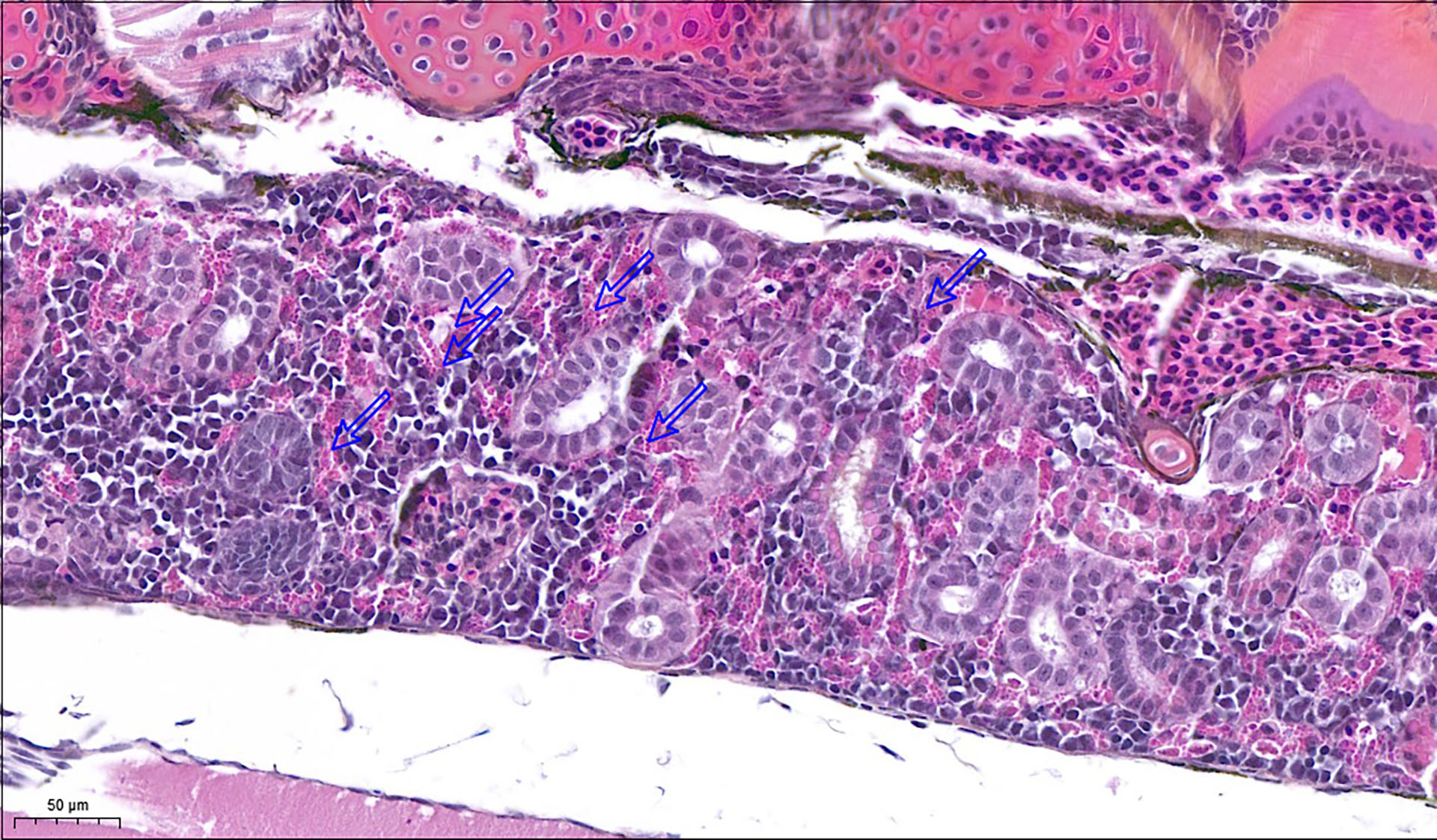
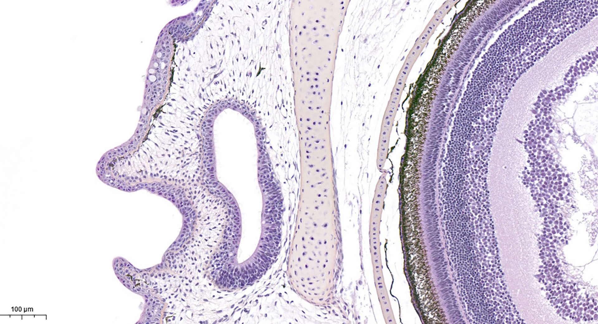
Figur 5a. Histologisk snitt av område rundt nesehule hos yngel. Brusken fremstår eosinofilt misfarget. HES farging.
Foto: Patogen AS

Figur 5b. Histologisk snitt av område rundt nesehule hos yngel. Brusken fremstår uten avvik i farge. HES farging.
Foto: Patogen AS
Forløp ved CYD-mistanke
Mistanke om CYD kan oppstå allerede ved rognmottak eller senere i klekkerifasen. I enkelte tilfeller observeres hvite områder i rognkorn ved levering, noe som kan gi mistanke om CYD, men slike forandringer er vanskelige å skille fra døde rognkorn. Videre observasjoner og analyser er derfor nødvendige.
Under klekkerifasen baseres mistanken ofte på ujevn klekking, ujevn resorpsjon av plommemasse, ujevn utvikling og individer med synlige deformiteter i plommesekkregionen, som avsnøring, unormal form på plommesekken og blødninger i tilknytning til plommemasse. Det påvises ofte samtidig infeksjon med Saprolegnia spp., på affiserte egg og yngel. På bakgrunn av slike observasjoner og økt dødelighet tas det gjerne prøver av plommesekkyngel for histologisk vurdering. Et nyttig verktøy er mikroskop eller lupe, som kan hjelpe med å identifisere forandringer forenlige med CYD, som blødninger rundt plommesekken og avvikende utseende på plommemasse (Figur 6). Hos individer med mistanke om CYD fremstår plommemassen ofte misfarget, tettere og mer kompakt. Det kan observeres gulere farge, tett masse eller hvitaktig tone i stedet for den klare gyllenoransje fargen en vil se hos tilsynelatende friske plommesekkyngel.
Et typisk funn ved CYD-mistanke er ujevn resorpsjon av plommesekk, spesielt mot slutten av klekkerifasen. Noen individer vil ha fullført resorpsjon og fremstår klare for startfôring, hvorav andre fortsatt har betydelig plommemasse igjen. Det observeres ofte ingen tydelige atferdsforskjeller mellom disse gruppene. Ved overgang til startfôringsfase kan det oppstå høy dødelighet i løpet av de første dagene. Karbilde og miljø kan likevel fremstå normalt, hvor flertallet av ynglene viser interesse for fôr og tilsynelatende normal adferd. Det er imidlertid utfordrende å vurdere om den observerte fôrinteressen gjelder hele gruppen, inkludert fisk med mistanke om CYD, eller om den i hovedsak kommer fra individer uten CYD-mistanke.
Ved obduksjon av individer i startfôringsfasen med CYD-mistanke observeres ofte avmagring, liten kroppsstørrelse samt rester av plommemassen. Plommemassen skal normalt være fullstendig resorbert og ikke synlig under startfôringsfasen. Dersom det påvises rester av plommemasse, kan det også indikere at gruppen har blitt flyttet til startfôring for tidlig, og dette vil være en differensialdiagnose til CYD. Overføring til startfôringsavdeling skal først skje når individer i klekkeriet har resorbert plommemassen, viser aktiv atferd og fordeler seg jevnt i bakkene.

Figur 6. Plommesekkyngel med avvikende utseende på plommesekk. Øverst i form av blødninger rundt plommesekk, og nederst som ugjennomsiktig, tilsynelatende koagulert plommemasse.
Foto: Patogen AS
Avsluttende betraktninger
Flere settefiskprodusenter rapporterer om utfordringer med utviklingen av plommesekkyngel. Noen er kjent med tilstanden CYD og mistenker denne, mens andre ikke kjenner til lidelsen og registrerer kun at det foreligger utviklingsavvik i gruppen. I tilfeller der CYD eller andre ikke-smittsomme plommesekkavvik mistenkes, rapporteres det om endringer i plommemassen og mangelfull resorpsjon som hovedfunn, ofte i kombinasjon med ulike deformiteter og ujevn utvikling på gruppen. I slike tilfeller påvises det gjerne flere utviklingsavvik histologisk, noe som gjør det utfordrende å avgjøre hvilke funn som direkte kan knyttes til CYD, og hvilke som eventuelt skyldes andre årsaker. Vår erfaring er at CYD kan opptre i ulike alvorlighetsgrader, avhengig av hvor stor del av plommemassen som er affisert. Mangelfull resorpsjon av plommemassen vanskeliggjør overgangen til neste produksjonsfase. Det er antatt at CYD innebærer denaturering og/eller koagulering av proteiner i plommemassen. Dette fører trolig til redusert næringsopptak fra massen, noe som vil påvirke organutvikling og vekst negativt.
På lang sikt er det forfatternes vurdering at individer som har hatt CYD og overlever, vil være mindre robuste og lite egnet for videre produksjon. Fisk med CYD og andre avvik i plommesekkregionen dør ofte tidlig eller blir sortert ut. Det finnes derfor begrenset kunnskap om hvorvidt skadene kan avheles, samt om de langsiktige konsekvensene for overlevelse og produksjonsresultat. En sammenheng med andre utfordringer ved startfôring, som forstoppelse/«stuffing» er ikke utenkelig.
Årsakene til CYD og andre ikke-smittsomme plommesekkavvik er fortsatt uklare. Flere faktorer er nevnt, blant annet miljøforhold hos rognleverandør, inkludert temperatur ved befruktning og under inkubasjon. I tillegg kan forhold under transport, som støt, vibrasjoner og transporttid ikke utelukkes som risikofaktorer.
Også miljø og driftsforhold hos settefiskprodusenten kan spille en rolle for utviklingen av slike avvik (5,7-14). Ved mistanke om CYD eller andre avvik i plommesekkregionen anbefales det å sende inn prøver til histologisk vurdering. Før prøvetakning bør det gjennomføres grundige visuelle vurderinger av plommesekkyngel med lupe eller mikroskop, med særlig fokus på plommesekkregionen. En gulaktig, kompakt eller hvit masse i plommesekken, høy forekomst av blødninger, avsnøringer eller andre deformiteter kan indikere CYD. Ujevn utvikling i gruppen under klekkerifasen bør også vurderes som et mulig klinisk tegn og gi grunnlag for videre undersøkelser. Det er viktig å være klar over at flere av de nevnte observasjonene er uspesifikke og kan være uttrykk for ulike utviklingsavvik.
Mistanke om CYD kan oppstå på ulike tidspunkter; enkelte ganger allerede ved mottak av rogn, andre ganger i tidlig plommesekkyngelstadium, og noen først ved flytting til startfôring, hvor det observeres rester av plommesekk hos ellers godt utviklet yngel, noe som er uvanlig og gir grunn til bekymring.
Basert på forfatternes erfaringer, kan det se ut til at avvik i plommesekkregionen er en mer utbredt utfordring enn det som hittil er dokumentert i litteraturen, og at korrekt diagnose ofte ikke stilles. Det mistenkes at individer med slike avvik ofte havner i kategoriene «deformiteter» eller «ukjent årsak til dødelighet» i dødfiskregistreringen. Dette er uheldig, da det gir begrenset innsikt i de faktiske årsakene til tap og destruksjon i klekkeri og startfôringsfasen. Tidlig identifisering og utsortering av affiserte individer, kombinert med gjennomgang av miljøforhold og produksjonsrutiner, er per i dag de mest effektive tiltakene. CYD og andre ikke smittsomme plommesekkavvik utgjør en betydelig helse- og velferdsutfordring i settefiskproduksjon, og destruksjon av hele grupper som følge av slike tilstander er et ikke uvanlig utfall. Økt forskning på årsakssammenhenger, prognose, tidlig diagnostikk og forebygging er derfor avgjørende. God dialog med rognleverandører og internt i anleggene vil være viktig for bedre helseoppfølging og forståelse. Åpenhet og dokumentasjon ved funn av CYD og andre plommesekkavvik vil bidra til økt kunnskap i næringen.
Referanser
Sahlmann C, Gu J, Kortner TM, Lein I, Krogdahl Å, Bakke AM. Ontogeny of the digestive system of Atlantic salmon (Salmo salar L.) and effects of soybean meal from start-feeding. PLoS ONE 2015;10:e0124179.
Sarasquete MC, Polo A, Yúfera M. Histology and histochemistry of the development of the digestive system of larval gilthead seabream, Sparus aurata L. Aquaculture 1995;130:79-92.
Concha ML, Reig G. Origin, form and function of extraembryonic structures in teleost fishes. Philos Trans R Soc Lond B Biol Sci 2022;377:20210264.
Marty GD, Heintz RA, Hinton DE. Histology and teratology of pink salmon larvae near the time of emergence from gravel substrate in the laboratory. Can J Zool 1997;75:978-88.
Roberts RJ. Miscellanous non-infectious diseases. I: Roberts RJ, ed. Fish pathology. 4th ed. London: Saunders, 2012:427-8.
Marty G, Heintz RA. Ruptured yolk sacs and visceral fungi in emergent pink salmon alevins: histopathology and relation to marine survival. Dis Aquat Organ 2010;88:115-26.
Mazuranich JJ, Nielson WE. White-spot disease of salmon fry. Progress Fish Cult 1959;21:172-6.
Kjershow Agersborg HP. Salient problems in the artificial rearing of salmonoid fishes, with special reference to intestinal fungisitosis and the cause of white-spot disease. Trans Am Fish Soc 1933:63:240-50.
Sandoval C. Blue sac disease (BSD): gross pathology. Fish Pathology. https://fishhistopathology.com/?p=2106 (20.10.2025).
Noga EJ. Diagnosis made by examination of eggs. I: Fish disease: diagnosis and treatment. 2nd ed. Ames, Iowa: Wiley-Blackwell, 2010:341-3.
Egidius E, Helland-Hansen O. Oppdrett av laksefisk i norske kystfarvann: produksjon av egg og yngel. Bergen: Havforskningsinstituttet, 1973. (Fisken og Havet. Serie B 1973:11).
Fisher JP, Spitsbergen JM, Iamonte T, Little EE, DeLonay A. Pathological and behavioral manifestations of the “Cayuga syndrome”: a thiamine deficiency in larval landlocked Atlantic salmon. J Aquat Anim Health 1995;7:269-83.
Meyers T, Burton T, Bentz C, Ferguson J, Stewart D, Starkey N. Blue sac disease of fry. I: Diseases of wild and cultured fishes in Alaska. 3rd ed. Anchorage: Alaska Department of Fish and Game, 2019:102-3. https://www.adfg.alaska.gov/static/species/disease/pdfs/fishdiseases/blue_sac_disease_of_fry.pdf (20.10.2025).
Ban M, Hida K, Kuwaki M, Horanai T, Ohnuki T, Oseko N. Physiological characteristics of blue sac disease in chum salmon alevins. Fish Sci 2023;89:31-40.
Bruno DW. Cranial nodules in farmed Atlantic salmon, Salmo salar L., fry. J Appl Ichthyol 1997;13:47-8.