Nasal aspergillose hos hund
Veterinær, spesialistkandidat i smådyrsykdommer – hund og katt, EMPET Skedsmo Dyresykehus
Veterinær, spesialist i smådyrsykdommer – hund og katt, EMPET Skedsmo Dyresykehus
Veterinær, spesialist i smådyrsykdommer – hund og katt, EMPET Lillestrøm Dyresykehus
Denne artikkelen beskriver aspergillose og presenterer en kasuistikk som omhandler en hund med nasal aspergillose. Etiologi, patofysiologi, diagnostikk og behandlingsalternativer for nasal aspergillose presenteres og drøftes. Formålet er å formidle prognose og suksessrate ved de ulike behandlingsalternativene. Trepanering og debridering av all synlig aspergillusmasse, plakk og nekrotisk vev ved rhinoskopi, rett før topikal behandling med klotrimazol i 60 minutter, vurderes som et godt behandlingsalternativ for hunder med nasal aspergillose.
Innledning
Aspergillus er en muggsoppslekt som det finnes mange arter av over hele verden, og som spres via produksjon av sporer (1). Noen arter regnes som opportunistiske patogener hos mennesker og dyr (2). Når en art av Aspergillus forårsaker sykdom hos mennesker og dyr, kalles det aspergillose (1). Hunder og katter blir ofte infisert i nesehulen og/eller frontalsinus, selv om infeksjon kan oppstå i de fleste vev og organer (2). Vanlige kliniske tegn på nasal aspergillose er kronisk neseflod som kan være blodig eller pusstilblandet fra ett eller begge nesebor (1). Andre kliniske tegn inkluderer nysing, smerter ved palpering over neseryggen, depigmentering av snuten og ulcerasjon på nesevingene (1). Ved rhinoskopi vil en kunne se osteaktige masser, hvitt/grønt plakk og nekrose, vanligvis midtkaudalt i nesehulen (1,3). Ved røntgen eller CT kan tap av bentetthet i nesehulens turbinater ofte observeres (1). Det er beskrevet ulike behandlingsalternativer, men det er ikke alle behandlingsalternativene som er like effektive. I denne artikkelen vil ulike behandlingsalternativer bli drøftet, og belyses med et kasus.
Patofysiologi
Aspergillus fumigatus regnes som den vanligste sykdomsfremkallende arten ved sinonasal aspergillose (1,2). Andre arter inkluderer blant annet A. flavus, A. niger, A. nidulans, A. deflectus og A. terreus (2). Disse artene har god formeringsevne ved kroppstemperatur eller høyere (37-48 °C) (1). Smitte skjer vanligvis via luftveiene, hvor Aspergillus kan skape en destruktiv inflammasjon i nesehulen og frontalsinusene (1). Underliggende sykdom i nesehulen som neoplasi, fremmedlegeme, traume og immunsvikt er uvanlig, men bør utelukkes (4,5). Involvering av lungene er uvanlig (4). Smitte kan også forekomme via fordøyelsessystemet, ved inntak av muggent fôr. Dårlig fôr, utilstrekkelig ventilasjon, støvete omgivelser, stress og massiv eksponering regnes som predisponerende faktorer (1). Dolikokefale og mesokefale hunderaser er mer utsatt for nasal aspergillose (1). Yngre hunder affiseres oftere enn eldre hunder, spesielt hannhunder (4,5). Aspergillus kan produsere diverse toksiner som mykotoksiner og gliotoksin som bidrar til å dempe immunforsvaret til verten (1). Aspergillus terreus, A. deflectus og andre Aspergillus spp. kan potensielt forårsake hematogen spredning til andre organer (4). Dette kalles disseminert aspergillose (4). Schäferhunder mistenkes å være predisponert for å utvikle disseminert aspergillose, spesielt unge til middelaldrende tisper (2,6). Nyrene, milten og ryggvirvlene er utsatte områder for spredning (1,2). Det er også dokumentert funn av spredning til lymfeknuter i bryst og buk, benvev, hjerte, lunger, lever, nyrebekken og øyne (1,2). Ved alvorlig systemisk spredning kan aspergillose være dødelig (1). Inhalering av sporer kan føre til en allergisk respons (1).

Figur 1. Rhinoskopiundersøkelse som viser nekrose, fragile slimhinner og gulhvite og grønnlige plakkformasjoner i høyre nesehule.
Foto: Caroline Solberg Graham
Kasuistikk
Signalement og anamnese
En bull terrier, intakt hann, alder 1 år og 9 måneder ble henvist for rhinoskopi. Hunden ble importert til Norge fra Polen ved 5 måneders alder. Hunden hadde hatt kronisk blodig neseflod fra høyre nesebor og tidvis nysing i to måneder. På henvisende klinikk ble nesen spylt med oppvarmet, steril saltvannsløsning uten at det verken hadde kommet ut slim eller fremmedlegeme. Eier forklarte at røntgenundersøkelse av hodet hadde vist økt røntgentetthet over nesehulen på høyre side. Hunden hadde blitt behandlet med robenakoksib tabletter (Onsior® Elanco Denmark ApS) 1,3 mg/kg SID i 7 dager og amoksicillin med klavulansyre tabletter (Augmentin® GlaxoSmithKline) 20 mg/kg BID i 10 dager, uten tegn til bedring.
Klinisk undersøkelse
Hundens kapillærfylningstid var normal (< 2 sekunder), og slimhinnene var rosa og fuktige. Pulsfrekvensen var 120/minutt, som samsvarte med hjertefrekvensen. Pulskvaliteten var sterk, og det hørtes klare og tydelige hjerteslag. Respirasjonen var kostoabdominal og uanstrengt, med en respirasjonsfrekvens på 24/minutt. Det var ingen hvesing, stertor eller stridor under auskultasjon. Ved palpering av neseryggen viste hunden smerteytring, i tillegg til at palperingen trigget nysing. Det var ingen synlig depigmentering, neseflod eller ulcerasjon på snuten. Det ble ikke påvist andre avvik ved den kliniske undersøkelsen.
Problemliste og diagnostisk plan
Problemlisten etter vurdering av anamnese og klinisk undersøkelse omfattet unilateral, blodig neseflod i to måneder, tidvis nysing og smerter ved palpering over neseryggen.
Basert på anamnese og klinisk undersøkelse var listen med differensialdiagnoser omfattende og inkluderte fremmedlegeme, inflammasjon, infeksjon, oronasal fistel, tannsykdom, neoplasi, koagulopati, ciliær dyskinesi og splittet ganespalte. For å redusere antall differensialdiagnoser ble rhinoskopi vurdert som neste trinn i utredningen. Eier fikk i tillegg tilbud om generelle blodanalyser og koagulasjonsprofil før rhinoskopiundersøkelsen, men ønsket ikke dette i første omgang.
Diagnostiske undersøkelser
Hunden ble premedisinert med deksmedetomidin 5 mg/kg og metadon 0,3 mg/kg i.m. Anestesien ble indusert med propofol cirka 1 mg/kg i.v. Hunden ble intubert i sternalt leie med endotrakealtube størrelse 9, deretter oksygenert i fem minutter frem til oppstart med inhalasjonsanestetika i form av sevofluorandamp 2 % via gjeninnåndingssystem med bruk av Merlin ventilator. Autorisert dyrepleier monitorerte og overvåket hunden før, under og etter behandlingen. Anestesien forløp uten anmerkning.
Larynx, pharynx og nasopharynx ble inspisert med et 3,5 mm fleksibelt Karl Storz engangs videoendoskop. Det kunne observeres mildt erytem over plica vocalis, rundt epiglottis og over et mindre område i nasopharynx. Svelget ble så pakket med kompresser før rhinoskopi ble utført. Rhinoskopiundersøkelsen ble utført med et 2,7 mm rigid Karl Storz Hopkins® Telescope 0° med hylse som hadde arbeidskanal og konstant vanntilførsel. Nesehulen ble inspisert systematisk fra ventrale nesegang, deretter over til midtre nesegang, og til slutt ble dorsale nesegang inspisert. Det ble observert gulhvite og grønnlige plakkformasjoner i midtre og ventrale nesegang bilateralt (Figur 1). Høyre halvdel av nesehulen var kraftig affisert, venstre halvdel var kun mildt affisert. Det ble i tillegg observert nekrose i høyre halvdel av nesehulen med fragilt vev som blødde og prellet vekk lett ved manipulering, samt små mengder pussdannelse. Slimhinnene var fragile og blødde lett ved manipulering bilateralt i nesehulen. Det ble plukket ut flere biter av plakket fra høyre halvdel av nesehulen ved hjelp av en gripetang. Vevsprøvene ble overført til EDTA-rør, flytende Amies mediumrør og i form av utstryk som ble sendt til analyse for mykologisk, bakteriologisk og cytologisk undersøkelse. Det ble laget et avtrykk av plakket fra nesehulen på et objektglass. Mikroskopisk undersøkelse av dette viste soppsporer (Figur 2).

Figur 2. Mikroskopi av plakk fra høyre nesehule som viser soppsporer (rød pil).
Foto: Caroline Solberg Graham
Behandling i påvente av prøvesvar
Eier fikk med resept på robenakoksib tabletter som skulle gis SID i cirka syv dager etter rhinoskopiundersøkelsen dersom hunden skulle vise tegn til ubehag.
Prøvesvar
Den mykologiske undersøkelsen påviste Aspergillus fumigatus. Den bakteriologiske undersøkelsen var negativ. Den cytologiske undersøkelsen beskrev en markert, purulent inflammasjon med funn av et stort antall soppsporer, erytrocytter og nøytrofile leukocytter.

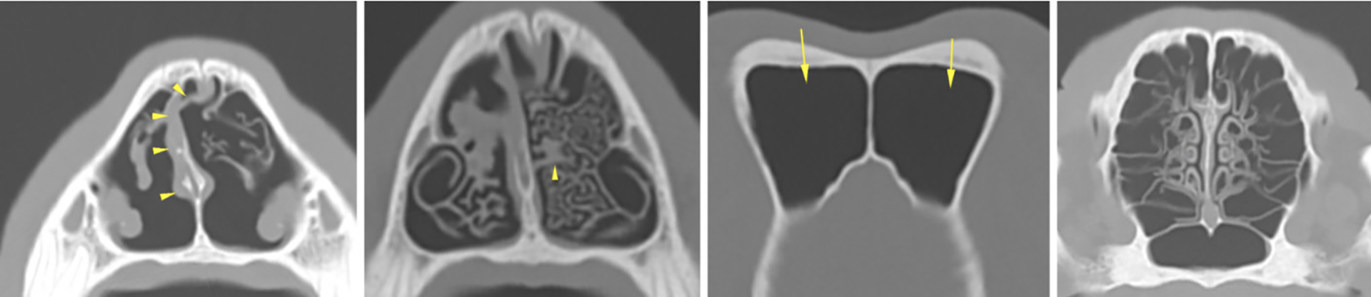
Figur 3. CT resultater. 1-2. Regional destruksjon av de dorsale og rostrale turbinatene i høyre nesehule (gule piler). Resterende turbinater er fortykkede og med unormal struktur. 3. Mer kaudalt i høyre nesehule er turbinatene redusert i antall sammenlignet med i venstre nesehule (gul sirkel).
Foto: Magnus Harjen og VET.CT
Diagnose
På bakgrunn av anamnese, kliniske tegn og de diagnostiske undersøkelsene kunne diagnosen nasal aspergillose med fravær av sekundær infeksjon fastsettes.
Videre undersøkelser og behandling
Pasienten ble henvist internt for CT-undersøkelse for å få oversikt over omfanget av patologien og for å vurdere om den kribriforme platen (lamina cribrosa) var intakt. Det ble avtalt å utføre første topikale behandling med klotrimazol i nesehulen samtidig dersom det kunne bekreftes at den kribriforme platen var intakt.
CT-rapporten beskrev funn av destruktiv rhinitt i høyre halvdel av nesehulen, og ikke-destruktiv rhinitt i venstre halvdel av nesehulen (Figur 3-5). Frontalsinusene var tilsynelatende normale. Den kribriforme platen var intakt.
Ettersom den kribriforme platen var intakt, og bihulene synes å være uaffiserte, ble første behandling med klotrimazol utført samme dag. Klotrimazol 1 % krem ble deponert i begge neseganger under anestesi. Hvert 15. minutt ble hunden rotert 90º, for å bedre fordele klotrimazolkremen i nesehulen. Eier gjentok selv topikal behandling med klotrimazol cirka tre uker senere.

Figur 4. CT resultater. 1. Dorsal multiplanar rekonstruksjon. Ødeleggelse av høyre turbinaterer og utvidelse av den nedre nesegangen (gule piler). 2-3. Redusert volum og tykkelse av høyre turbinater (3) sammenlignet med venstre turbinater (2).
Foto: Magnus Harjen og VET.CT
Oppfølging etter fem uker
Fem uker etter CT-undersøkelsen kom hunden tilbake for ny rhinoskopiundersøkelse siden hunden ikke hadde respondert på topikal behandling med klotrimazol krem. Hundens sykdomstilstand var blitt betydelig forverret siden siste undersøkelse. Hunden presenterte fremdeles med blodig neseflod. Nysing var tiltakende, og hunden var letargisk. Ved klinisk undersøkelse var hjertefrekvensen 156/minutt, som var på grensen til takykardi. Hunden var tydelig smertepreget, og vegret seg for palpering over neseryggen. Rektal temperatur målte 39,7 ºC, som indikerte mild pyreksi. Hunden hadde gått ned 0,2 kg i kroppsvekt siden forrige undersøkelse. Utover dette var klinisk undersøkelse uendret fra første besøk.
Det ble utført standard biokjemiske og hematologiske blodanalyser grunnet redusert allmenntilstand, og koagulasjonsprofil for å utelukke blødningsfare før igangsetting av mer invasiv behandling. Blodprøvene ble analysert på klinikkens Idexx Procyte Dx Haematology Analyser, Catalyst Dx Chemistry Analyser og Coag Dx Analyzer. Hematologien viste retikulocytt-hemoglobin rett under referanseintervallet, mild leukocytose, mild nøytrofili, lymfocyttnivå som grenset mot lymfocytose, mild eosinofili og suspekt nukleære erytrocytter. Avvikene indikerte inflammasjon. Det ble ikke funnet nukleære erytrocytter på blodutstryk undersøkt på klinikken. Albumin var over referanseintervallet, og alkalisk fosfatase (ALP) og alanin aminotransferase (ALT) var under referanseintervallet. Trombocytter var innenfor referanseintervallet. Protrombintid (PT) og aktivert partiell tromboplastintid (aPTT) var innenfor referanseintervallene.

Figur 5. CT resultater. 1. Skjev neseskillevegg (gule piler). 2. Fokalt område med neseflod i venstre nesehule, som grenser til den midtre nesegangen (gul pil). 3. Normale frontalsinuser (gule piler). 4. Normale turbinater.
Foto: Magnus Harjen og VET.CT
Anestesiplan
Hunden ble premedisinert med dexmedetomidin 5 mg/kg og metadon 0,3 mg/kg i.m. Det ble lagt et 20 G venekateter i vena cephalica på begge frambein for å sikre venøs tilgang. Anestesien ble indusert med propofol 1 mg/kg og ketamin 2 mg/kg i.v. Hunden ble intubert i sternalt leie med endotrakealtube størrelse 9, deretter preoksygenert i fem minutter frem til oppstart med inhalasjonsanestetika i form av sevofluorandamp 2 % via gjeninnåndingssystem med bruk av Merlin ventilator. Autorisert dyrepleier monitorerte og overvåket hunden før, under og etter behandlingen. Anestesien forløp uten anmerkning. Antiemetika ble gitt i form av maropitant 1 mg/kg i.v. Perioperativ smertelindring ble gitt i form av robenakoksib 2 mg/kg s.c., paracetamol 15 mg/kg i.v. og fentanyl 6 mg/kg/t infundert med konstant hastighet (CRI). Væsketerapi ble gitt ved preparering av hunden før anestesi, og gjennom hele anestesien. Før rhinoskopiundersøkelsen fikk hunden ringeracetat® 3 mL/kg/time CRI. Gjennom hele anestesien fikk hunden ringeracetat® 6 mL/kg/time CRI.

Figur 6. Trepanering inn i høyre frontalsinus.
Foto: Daire Thomas Graham
Rhinoskopi, trepanering og topikal behandling med klotrimazol

Figur 7. Deponering av klotrimazol i høyre frontalsinus.
Foto: Hanne Hedman
Etter intubering ble svelget pakket med kompresser for å unngå kontaminering til nedre luftveier under behandlingen. Rhinoskopiundersøkelsen ble utført med likt utstyr som sist. Ved rhinoskopiundersøkelsen kunne det observeres større mengder aspergillose bilateralt i nesen sammenliknet med tidligere, spesielt i høyre halvdel av nesehulen. Tilnærmet all synlig aspergillusmasse, plakk og nekrotisk vev ble debridert ved bruk av en gripetang gjennom arbeidskanalen på rhinoskopet.
Området over frontalsinusen ble barbert fri for pels. Det barberte området ble deretter vasket grundig med Hibiskrub (40 mg/mL (4 %) klorheksidindiglukonat) for aseptisk preparering. Til slutt ble det barberte området desinfisert tre ganger med 5 % klorheksidinsprit med cirka 5 minutters mellomrom. Videre ble det utført trepanering bilateralt i den dypeste delen av frontalsinusen gjennom frontalbeinet med en 4,5 mm håndholdt drill etter aseptisk preparasjon (Figur 6). Den dypeste delen av frontalsinusene ble lokalisert ved å tegne en linje fra den ytre øyevinkelen over øyet, inntil cirka 5-10 mm lateralt for frontalbeinets midtlinje. Skalpellblad nummer 10 ble brukt for å legge et cirka 2 cm vertikalt snitt over dette området bilateralt, til beinet var synlig og debridert fritt for subkutant vev. Håndrillen ble rotert kun én vei for å unngå at små beinsplinter skulle falle ned i frontalsinusene under drillingen. Frontalsinusene var fremdeles tilsynelatende uaffiserte ved rhinoskopiundersøkelsen gjennom trepaneringsåpningene. Frontalsinusene og nesehulen ble spylt med cirka 6 liter oppvarmet, sterilt saltvann med høyt trykk gjennom trepaneringsåpningene. En av veterinærene la hendene over hundens øyne under spylingen for å overvåke at trykket ikke ble for høyt. Rikelige mengder sekret og små plakkbiter ble spylt gjennom nesen. Det kunne ikke observeres mer plakk ved rhinoskopiundersøkelsen etter spylingen. Fire Foley-katetre med 3 mL ballonger ble deretter anvendt for å okkludere nesen. To katetre ble plassert gjennom nesen, til ballongen lå i nasopharynx. Her ble ballongene fylt opp med cirka 3 mL sterilt saltvann, før katetrene ble dratt så langt rostralt som mulig for å okkludere nesehulen kaudalt. Det ble så klippet til to stive 3,3 mm urinkatetre som ble plassert slik at tuppen lå cirka halvveis inn i nesehulen bilateralt. Rostrale del av nesen ble okkludert ved å føre to Foley-katetre inn i neseborene, før ballongene ble fylt opp med cirka 2 mL sterilt saltvann (Figur 7). Når nesehulen var okkludert, ble det injisert totalt 20 mL av 1 % klotrimazol liniment og 40 mL av 1 % klotrimazol krem via trepaneringsåpningene og de to urinkatetrene som stakk ut via nesen (Figur 7). De incisive kanalene (canales incisivi) ble sjekket for lekkasje og dekket med en kompress. Hvert 15. minutt ble hunden rotert 90º, for bedre å fordele klotrimazol i frontalsinusene og nesehulen, til hunden til slutt hadde ligget med klotrimazol i nesehulen og frontalsinusene i cirka 60 minutter. Hunden ble ført med nesen litt nedover over bordkanten under oppvåkningen for å unngå at klotrimazol skulle renne bak til svelget, og alle katetre og kompresser ble fjernet.
Hunden våknet rolig og uproblematisk etter anestesi, og spiste med god appetitt innen kort tid. Hunden fikk fentanyl 4 mg/kg/t CRI under oppvåkningen og frem til hjemreise senere samme dag. Eier ble informert om foreløpig vellykket behandling, og at hunden virket tilstrekkelig smertelindret. Eier ble instruert i å fortsette behandling hjemme med smertelindrende medisiner. Sårene skulle renses forsiktig med sterilt saltvann i en uke. Eier ble informert om at hunden trolig ville komme til å nyse blod de neste par dagene. Følgende medisinplan ble fremlagt for eier: Robenakoksib cirka 1,3 mg/kg (totalt 40 mg) p.o. SID i 7 dager, paracetamol cirka 12 mg/kg (totalt 375 mg) p.o. TID i 3-5 dager, tramadol cirka 4 mg/kg (totalt 120 mg) p.o. TID ved behov i 2-3 dager.
Kontroll etter tre uker
Tre uker senere kom hunden til kontroll for rhinoskopi, og eier informerte om at hunden hadde nyst en del de første to ukene etter behandlingen. Siste uken hadde hunden vært tilnærmet uten kliniske sykdomstegn, men kunne av og til nyse litt. Hunden hadde ikke lenger blodig neseflod og vegret seg ikke lenger for palpering over neseryggen. Hunden var ikke lenger pyrektisk.
Det ble anvendt samme anestesiprotokoll og medisineringsplan som sist, med unntak av paracetamol og fentanyl CRI. Ved rhinoskopiundersøkelsen var det ikke lenger synlige tegn til aspergillose. Slimhinnene var for det meste rosa av farge (Figur 8). I områdene som hadde vært mest affisert av aspergillose ved forrige undersøkelse var slimhinnen mer lyserosa eller hvit, og med rikelige mengder blodforsyning som indikerte sårheling. Det manglet som forventet brusk der nekrotisk vev og brusk var blitt fjernet ved forrige behandling. Det var i tillegg funn av en septumperforasjon. Nesehulen ble spylt med sterilt saltvann under rhinoskopiundersøkelsen. Deponering av klotrimazol i nesen ble gjentatt på samme måte som sist med okkludering av nesen, med unntak av trepanering som ikke ble vurdert som nødvendig (Figur 9). Dette for å bli kvitt potensielle rester av aspergillose i nesehulen som ikke lot seg visualisere via rhinoskopi. Hunden viste ingen nysing i etterkant av behandlingen.
Eier ble instruert i å fortsette behandling hjemme med smertelindrende medisiner, robenakoksib cirka 1,3 mg/kg (totalt 40 mg) p.o. SID i cirka 3-5 dager, dersom hunden skulle virke smertepreget. Det ble ikke vurdert nødvendig å utføre flere behandlinger grunnet fravær av synlig aspergillusmasser og plakk.

Figur 8. Rhinoskopiundersøkelse uten tegn til nekroser eller plakkformasjoner etter vellykket behandling av aspergillose.
Foto: Caroline Solberg Graham
Diskusjon

Figur 9. For å kunne deponere klotrimazol ble det benyttet Foley katetre og urinkatetre i nesehulene.
Foto: Caroline Solberg Graham
Anamnese, kliniske tegn, rhinoskopi, mykologisk og cytologisk undersøkelse bekreftet diagnosen nasal aspergillose. CT-undersøkelsen ga oversikt over omfanget av patologien, og bekreftet at den kribriforme platen var intakt. Ved mangel på nødvendig utstyr kan serologi og PCR benyttes i diagnostikken, men disse har lavere sensitivitet og spesifisitet (7,8).
Det finnes flere behandlingsalternativer ved nasal aspergillose, men det er ikke alle behandlingsalternativene som er like effektive. Lokal behandling med debridering av all synlig aspergillusmasse, plakk og nekrotisk vev etterfulgt av topikal behandling med klotrimazol anbefales ved nasal aspergillose (4). Systemisk behandling med itrakonazol anbefales for pasienter hvor sykdommen rammer flere områder i tillegg til nesen og frontalsinusene (4). Systemisk behandling har lavere suksessrate sammenlignet med topikal behandling, og potensielt flere systemiske bivirkninger. Systemisk behandling foregår over minimum 60 til 90 dager (4). Det er også mulig å kombinere systemisk itrakonazol med systemisk terbinafin (4). En nyere studie har vist effekt av behandling med systemisk posakonazol, terbinafin og doksycyklin over 6-18 måneder hos pasienter som ikke responderer på topikal eller annen systemisk behandling (9). Det observeres idag en økende grad av resistens mot azoler, men Aspergillus fumigatus er vanligvis sensitiv for azoler (2). Klotrimazol er en azol.
Tidligere ble topikal behandling utført ved å administrere enilkonazol i frontalsinusene to ganger daglig i 7-10 dager, via kirurgisk plasserte katetre (4). I senere tid er det oppdaget at topikal behandling med 1 % klotrimazol over en time har like god effekt, med en suksessrate på 46 % etter én behandling (10). Dersom endoskopisk eller kirurgisk debridering av all synlig aspergillusmasse, plakk og nekrotisk vev utføres rett før topikal behandling, kan vellykket behandling oppnås allerede etter første behandling (11). Suksessraten ligger på mellom 70 % og 94 % etter gjentatte behandlinger hver 2. - 3. uke (10,11). Det er ikke påvist signifikant endring i behov for antall behandlinger om debridering utføres via antegrad rhinoskopi eller trepaneringsåpninger i frontalsinusene ved fravær av plakk i frontalsinusene (11). Alder, varighet av kliniske tegn, tilstedeværelse av epistaksis og omfang av affisert område har ikke vist å signifikant påvirke behov for antall behandlinger (11). Det samme gjelder behandling med systemisk itrakonazol i forkant av behandling med debridering og topikal behandling, samt fem minutters spyling med 1 % klotrimazolløsning i forkant av applisering av klotrimazolkrem (11). Effekt av behandling bør kontrolleres med rhinoskopi eller CT-undersøkelse. En nyere studie skriver at én behandling kan være kurativ hos hunder, og at suksessraten ligger på 80-90 % (5). Endoskopisk debridering bør utføres ved hjelp av rhinoskopi med eller uten trepanering.
Hunden i denne kasuistikken hadde liten til ingen effekt av topikal behandling med klotrimazol 1 % i en time. Lokal behandling med debridering av all synlig aspergillusmasse, plakk og nekrotisk vev etterfulgt av topikal behandling med klotrimazol syntes å være kurativt etter én behandling. Deponering av klotrimazol i nesen ble likevel gjentatt tre uker senere for å bli kvitt potensielle rester av aspergillose i nesehulen som ikke lot seg visualisere via rhinoskopi. Trepanering ble benyttet både for å bli kvitt potensielle soppsporer i frontalsinusene, og for å få utført mer effektiv spyling av gjenværende plakk i nesehulen. Ved antegrad spyling kan det potensielt være større risiko for kontaminering til nedre luftveier, i tillegg til at pakking av svelg med kompresser kan gjøre spyling mer krevende ved å danne en form for obstruksjon. Ved retrograd spyling via trepaneringsåpningene kan høyere trykk benyttes, og sekret og plakkbiter møter mindre motstand ved spyling ut gjennom nesehulen. Frontalsinusene og nesehulen ble spylt med cirka 6 liter oppvarmet, sterilt saltvann med høyt trykk gjennom trepaneringsåpningene for hunden i denne kasuistikken. Rikelige mengder sekret og små plakkbiter ble spylt gjennom nesen.
Potensielle komplikasjoner med trepanering og behandling med klotrimazol inkluderer hevelse eller abscessdannelse over trepaneringsåpningene, aspirasjonspneumoni, død og meningoencefalitt (4,11). Sistnevnte er kun en potensiell komplikasjon dersom den kribriforme platen ikke er intakt, og klotrimazol eller aspergillose kommer i kontakt med hjernen (4). Derfor er det anbefalt å utføre CT- eller MR-undersøkelse før denne behandlingsteknikken utføres. Hunden i denne kasuistikken hadde intakt kribriform plate. I en studie fikk ingen hunder med affisert kribriform plate komplikasjoner etter topikal behandling (12). Det er derfor ikke nødvendigvis kontraindisert å utføre topikal behandling dersom den kribriforme platen ikke er intakt (12). Det er dokumentert komplikasjonsrate på opptil 19 % ved trepanering og topikal behandling med klotrimazol (11). Studier viser at cirka 30-50 % av hunder kan ende opp med vedvarende neseflod og/eller tidvis nysing etter behandlingen (4,11). I disse tilfellene bør det kontrolleres om tilstrekkelig heling er oppnådd. Andre hunder kan utvikle sekundær bakteriell rhinitt eller sensitivitet for inhalerte irritanter, grunnet skadet anatomi og slimhinne i nesen (4). Omtrent 12 % opplever reinfeksjon (11). Hunden i denne kasuistikken opplevde tidvis nysing etter første behandling, men hadde ikke problemer med vedvarende nysing etter dette.
Konklusjon
Lokal behandling med trepanering og debridering av all synlig aspergillusmasse, plakk og nekrotisk vev rett før topikal behandling med klotrimazol i 60 minutter er ansett som det behandlingsalternativet med høyest suksessrate for nasal aspergillose, og utføres hver 2.-3. uke frem til resolusjon. Trepanering er en inngripende behandlingsteknikk, men med tilstrekkelig smertelindring med opioider blir det godt tolerert av pasientene. Retrograd spyling via trepaneringsåpningene mistenkes å gi mer effektiv spyling av gjenværende plakk i nesehulen og frontalsinusene sammenliknet med antegrad spyling, i tillegg til at risikoen for kontaminering til nedre luftveier trolig reduseres. Prognosen er bedre jo tidligere behandlingsprosessen igangsettes (2). Hunden i denne artikkelen ble vurdert til å ha god livskvalitet i etterkant av behandlingen.
Sammendrag
Denne artikkelen beskriver diagnostikk og behandling av nasal aspergillose, med trepanering og debridering av all synlig aspergillusmasse, plakk og nekrotisk vev ved rhinoskopi, rett før topikal behandling med klotrimazol i 60 minutter. Metoden har vist stort potensial med god prognose. Hunden i denne artikkelen gjentok behandlingsprosedyren to ganger, og responderte godt. Det oppstod ingen komplikasjoner.
Summary
This article describes the evaluation and treatment of nasal aspergillosis, with trepanation and debridement of all visible aspergillus mass, plaque, and necrotic tissue by rhinoscopy, immediately before topical treatment with clotrimazole for 60 minutes. The method has shown great potential with a good prognosis. The dog in this article repeated the treatment procedure twice, and responded well. No complications occurred.
Etterskrift
Veterinær Daire Thomas Graham DVM takkes for samarbeidet under utførelsen av trepanering.
Referanser
Christensen E. Aspergillose. Oslo: Veterinærinstituttet, 2025. https://www.vetinst.no/sykdom-og-agens/aspergillus-og-aspergillose (06.01.2026).
Renschler JS. Review of systemic aspergillosis in dogs. Version 1. Indianapolis, Indiana: MiraVista Veterinary Diagnostics, 2020. https://miravistavets.com/wp-content/uploads/2021/03/Vets_CR_SystemicAspergillosisDogs.pdf (06.01.2026).
Saylor DK, Williams JE. Rhinoscopy. I: Tams TR, Rawlings CA, eds. Small animal endoscopy. 3rd ed. St.Louis, Missouri: Elsevier Health Sciences, 2010:573.
Hawkins EC. Disorders of the nasal cavity. I: Nelson RW, Couto CG, eds. Small animal internal medicine. 6th ed. St.Louis, Missouri: Elsevier, 2020:260-3.
MacPhail C. Surgery of the upper respiratory system. I: Fossum TW, ed. Small animal surgery. 5th ed. Philadelphia: Elsevier, 2019:880-1.
Taylor AR, Young BD, Levine GJ, Eden K, Corapi W, Rossmeisl JH et al. Clinical features and magnetic resonance imaging findings in 7 dogs with central nervous system aspergillosis. J Vet Intern Med 2015;29:1556-63.
Biénès T, Vangrinsven E, Fastrès A, Garigliany MM, Billen F, Clercx C. Utility of fungal polymerase chain reaction on nasal swab samples in the diagnosis and monitoring of sinonasal aspergillosis in dogs. J Vet Intern Med 2022;36:1295-302.
Prior C, Swales H, Sharman M, Reed N, Bommer N, Kent A et al. Diagnostic findings in sinonasal aspergillosis in dogs in the United Kingdom: 475 cases (2011–2021). J Small Anim Pract 2024;65:622-30.
Stewart J, Bianco D. Treatment of refractory sino‐nasal aspergillosis with posaconazole and terbinafine in 10 dogs. J Small Anim Pract 2017;58:504-9.
Sharman M, Paul A, Davies D, MacKay B, Swinney G, Barrs V et al. Multi‐centre assessment of mycotic rhinosinusitis in dogs: a retrospective study of initial treatment success (1998 to 2008). J Small Anim Pract 2010;51:423-7.
Hazuchova K, Neiger R, Stengel C. Topical treatment of mycotic rhinitis-rhinosinusitis in dogs with meticulous debridement and 1% clotrimazole cream: 64 cases (2007–2014). J Am Vet Med Assoc 2017;250:309-15.
Belda B, Petrovitch N, Mathews KG. Sinonasal aspergillosis: outcome after topical treatment in dogs with cribriform plate lysis. J Vet Intern Med 2018;32:1353-8.