Algeoppblomstringen i Nord-Norge våren 2025 – hva har vi lært, og er vi klare til neste runde?
Oppdrettslaks eksponert for alger i forbindelse med algeoppblomstringen i Nord-Norge våren 2025 hadde tydelige vevsskader i gjellene. Algetoksiner i gruppen Leadbeateriner var trolig en viktig årsak til skadene.
Veterinærpatolog, PHARMAQ , Analytiq AS
Fiskehelsebiolog, STIM AS
Veterinær, STIM AS
Forsker, Aqua Kompetanse AS,
Seksjonsleder, Fiskediagnostikk, Veterinærinstituttet
Seniorforsker, Veterinærinstituttet
Forsker, Veterinærinstituttet
PHARMAQ Analytiq AS, Avdelingsleder histopatologi
Dette er en oppdatert versjon av artikkelen som tidligere har vært publisert i NorskFiskeoppdrett - Nr 6-7-8 2025.
Innledning
Våren 2025 var det en betydelig algeoppblomstring av Chrysochromulina spp. og Phaeocystis spp. i Nord-Norge, som hadde alvorlige konsekvenser for oppdrettsnæringen (Figur 1). Algene, som ved høy konsentrasjon kan være skadelige for fisk, førte til omfattende dødelighet blant oppdrettslaks. Ifølge Fiskeridirektoratet resulterte oppblomstringen i opp mot en million død fisk. Også våren 2019 førte oppblomstring av Chrysochromulina leadbeateri til omfattende tap av fisk i Nord-Norge. Til tross for stor oppmerksomhet rundt hendelsene, har det så langt vært lite fokus rettet mot effekten av algene på fiskens vev og på mekanismene som forårsaker skade og dødelighet. I denne artikkelen beskriver vi det som er kjent om effekten på fiskevev basert på histopatologiske funn i diagnostikkmateriale og ny kunnskap om algegift (leadbeaterin-1) som er påvist i vannprøver fra den aktuelle oppblomstringen.

Figur 1. Mikroskopiske bilder av de aktuelle algene. A) Chrysochromulina leadbeateri.
Fotografi: Bente Edvardsen, Universitetet i Oslo.
B) Phaeocystis kolonier som viser en boble med relativt mye slim (mucus) i forhold til antall algeceller.
Fotografi: Lasse Mork Olsen, Aqua Kompetanse.
Kliniske funn/obduksjonsfunn
De kliniske påvisningene av algerelaterte vevsskader hos fisk varierte i omfang, både mellom lokaliteter og fra merd til merd. I flere tilfeller var svimere og dødfisk tilsynelatende lytefrie, og ved nærmere undersøkelse ble det ofte funnet tydelige affiserte gjeller med lyse, svulne områder på filamenter og lameller. Hos enkelte fisk hvor gjellene ved første øyekast kunne virke friske, ble det ved nærmere undersøkelse ofte observert små blødninger i gjellevevet. Slimete gjeller var også et gjennomgående obduksjonsfunn (Figur 2).

Figur 2. Makroskopiske funn i gjeller fra fisk etter eksponering for alger. A) Gjeller som er dekket av et diffust slimlag. B) Gjelle med rikelig forekomst av små blødninger i lamellene. C) Gjeller med multifokale lyse svulne områder.
Fotografi: STIM
Histopatologiske forandringer
PHARMAQ Analytiq og Veterinærinstituttet fikk inn prøver fra flere anlegg i det aktuelle området der det var mistanke om skade forårsaket av algene. Skadene som ble påvist histologisk varierte i alvorlighetsgrad og varighet. Forandringene ble i all hovedsak observert i gjellene (Figur 3). Akutte skader inkluderte diffuse sirkulasjonsforstyrrelser (hyperemi) i lamellene, akutt epitelcellenekrose, avstøting av nekrotisk epitel, separasjon av epitel fra underliggende vev (tolket som subepitelialt ødem eller «lifting»), samt stedvis lamellære tromber. Kort oppsummert betyr forandringene omfattende brudd på barrieren mellom blod og vann, og det er grunn til å tro at fisk med slike vevsforandringer opplever alvorlig svekkelse av gassutveksling og osmoregulatorisk svikt. Ved høy toksineksponering vil dette kunne medføre akutt dødelighet. En eventuell systemisk effekt ved opptak av toksiner vil kunne forverre tilstanden.
I enkelte saker var forandringene av mer subakutt varighet, der lamellære tromber med begynnende organisering, sammenlodninger av lameller og begynnende hyperplasi av gjelleepitelet dominerte. I disse sakene er det grunn til å anta at konsentrasjonen av alger og toksiner har vært lavere enn i de mer akutte tilfellene, slik at fisken har overlevd de akutte skadene. Det var ingen histologiske forandringer i øvrige vev som med sikkerhet kan ha resultert fra algeeksponeringen, selv om det i enkelte saker ble påvist begynnende nekrose i levervev. Forandringene i levervevet kan være en direkte effekt av toksinpåvirkning, eller de kan ha oppstått indirekte som en konsekvens av gjelleskader med påfølgende oksygenmangel i levervevet.

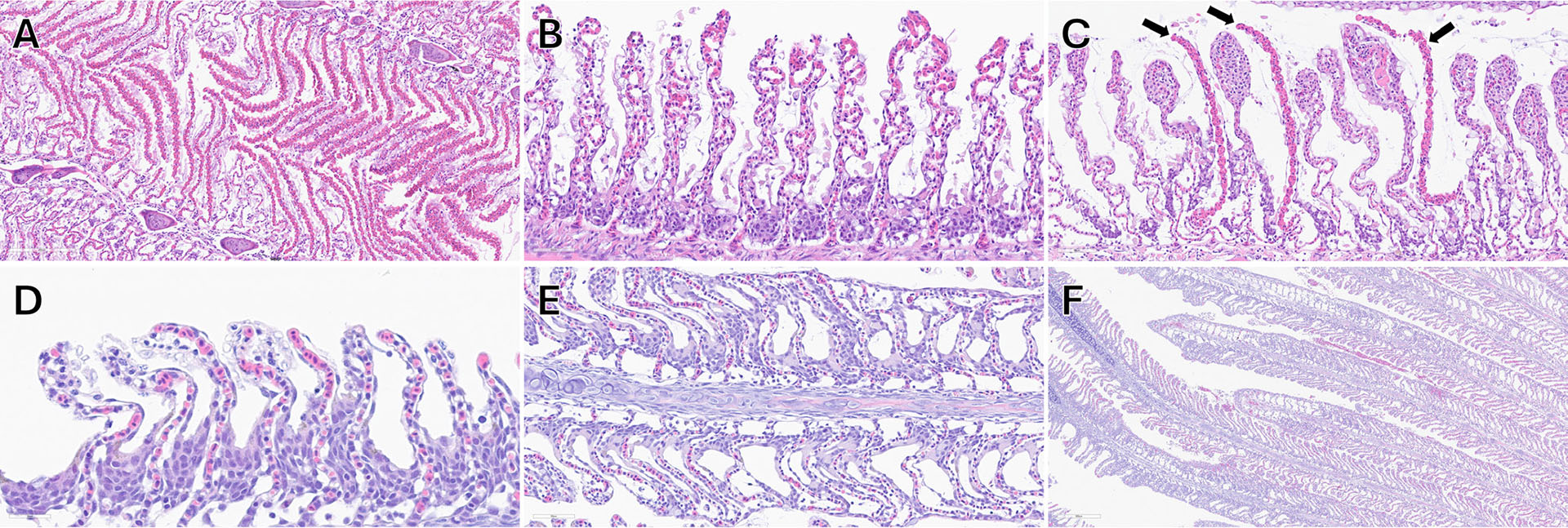
Figur 3: Eksempel på histologiske skader observert i gjeller hos fisk eksponert for alger. A) Akutt hyperemi og nekrose av respiratorisk epitel i lameller. B) Akutte forandringer med nekrose og avstøting av respiratorisk epitel og sammenfolding av de lamellære karstrukturene. C) Akutte til sub-akutte forandringer, med en kombinasjon av stuvning i lameller med tap av epitel (piler), og begynnende sammenfolding av lamellære karstrukturer med forkorting av lameller. D) Sub-akutte forandringer med nekrose og avstøting av respiratorisk epitel i lameller, og hypertrofi og dels hyperplasi av flerlaget epitel i filament. E) Sub-akutte forandringer, med epitelial hypertrofi og dels hyperplasi i flerlaget epitel, samt rikelig ødem under flerlaget epitel, og delvis til fullstendig fusjon av lameller. F) Oversiktsbilde som viser betydelig tap av respiratorisk overflate i gjellevevet.
Fotografi: PHARMAQ Analytiq
Toksikologiske funn
Under oppblomstringen i 2019 var det ukjent hva som drepte fisken, og det ble spekulert i om algen skilte ut stoffer som førte til skader på gjellenes celler slik at oksygenopptaket ble forhindret. I prosjektet ToxANoWa, som er et prosjekt ledet av Veterinærinstituttet med partnere fra UiO, DTU og National Research Council i Canada, ble det identifisert et nytt algetoksin som ble kalt leadbeaterin-1 (1). Algetoksinet ligner på et tidligere kjent fiskedrepende algetoksin, karlotoxin-2, som produseres av algen Karlodinium veneficum. Toksinet leadbeaterin-1 har nylig blitt strukturbestemt ved hjelp av kjernemagnetisk resonans (NMR) og væskekromatografi med høytoppløsende massespektroskopi (LC-HRMS), og rent leadbeaterin-1 har blitt testet for toksisitet i to gjelleepitelcelleassay (RTgill-W1; cellelinje fra regnbueørret (2); og ASG-10; cellelinje fra atlantisk laks (3)). Resultatene fra dette forventes publisert snart (Wang m.fl. in prep).
I forbindelse med årets oppblomstring av C. leadbeateri har Veterinærinstituttet påvist det nye toksinet leadbeaterin-1 (og flere andre analoger) i vannprøver og via opptak i utplasserte passive prøvetakere for å få en bedre oversikt over fordelingen av algetoksiner i vannet. Påvisningen ble gjort med kjemiske analysemetoder (LC-HRMS/MS). Vannprøvene ble blant annet samlet inn av Sea Eco i eller i nærheten av oppdrettsanlegg.
Diskusjon
Eksponering for mikroalger (fytoplankton/planteplankton) kan gi dødelighet hos oppdrettslaks gjennom flere ulike mekanismer. Flere arter av kiselalger har spisse strukturer som gir mekanisk skade på gjellene. Andre alger, som for eksempel C. leadbeateri, kan utskille gifter som gir toksisk vevsskade. I tillegg kan noen arter påvirke fisken gjennom stimulering til økt slimproduksjon i gjellene. Andre kan igjen påvirke fisken indirekte, ved å produsere totalgassovermetning om dagen (ved fotosyntese) og oksygenmangel om natten (ved cellemetabolisme), eller ved å foreligge i så store mengder at de gir mekanisk tilstopping av gjellevevet.
Funnene i det innsendte materialet viser tydelige histopatologiske forandringer. Selv om funnene ikke er spesifikke for alger eller algetoksiner, er nekrose, ødem og karskader med diffus utbredelse i gjellevevet typiske funn som kan sees ved toksisk celleskade (4). For å sette slike funn i sammenheng med algeeksponering er det nødvendig å sammenstille histologi, klinikk og resultater fra vannprøver fra gitt område og tidspunkt.
I tillegg til påvisning av vevsskade kan histopatologi være nyttig for å vurdere graden av skade og gi en pekepinn på hvordan gjellevevet leges over tid. Histologi kan for eksempel gi en indikasjon på om fisken vil tåle ikke-medikamentell lusebehandling i tiden etter en algeoppblomstring.
Siden det ble påvist høye konsentrasjoner av både Chrysochromulina spp. og Phaeocystis spp. i oppblomstringen i 2025, er det vanskelig å si sikkert hvilken alge som har hatt størst betydning for dødeligheten. Under oppblomstringen i 2019 der C. leadbeateri i større grad dominerte, ble det observert lignende forandringer som beskrevet over. Det er uklart om Phaeocystis spp. også kan gi vevsskade, men fisk eksponert for denne algen har blitt beskrevet å ha slimete gjeller. Det er spekulert i om økt slimproduksjon kan være årsaken til dødelighet observert ved høye konsentrasjoner av denne algen. Et ytterligere moment kan være et samspill mellom disse to algene, hvor økt slimproduksjon forårsaket av Phaeocystis spp. potensielt kan forårsake økt kontakttid mellom gjellevev og toksinene fra Chrysochromulina spp.
Veien videre: hva trenger vi for å være forberedt på neste runde?
Selv om overvåkning av alger gjøres regelmessig i nærheten av anlegg, kan oppblomstringene være kortvarige og vanskelig å oppdage selv med regelmessig prøvetaking. Det er i tillegg usikkerhet om noen alger kan skru giftproduksjonen av og på, noe som vil kunne gjøre det vanskeligere å sette algetall og dødelighet i sammenheng. Mulighet til å påvise leadbeateriner i miljø- eller vevsprøver ville kunne gitt sikrere avklaring og muligens tidligere varsling om tilstedeværelsen av skadelige alger.
Det er foreløpig uklart om toksinet kan påvises hos død fisk etter algeeksponering. Dersom det er mulig vil det kunne gi en sikrere diagnose i etterkant.
Til tross for økt oppmerksomhet etter oppblomstringen i 2019 vet vi fortsatt lite om hvordan alger skader fisken. Selv om leadbeaterin-1 har gitt toksiske skader i gjelleepitelcellelinjer in vitro, har den akutte og langvarige effekten på fisk ikke blitt studert histopatologisk i kontrollerte studier. Vi vet heller ikke hvilke konsentrasjoner av leadbeateriner i vannet som skal til for å være toksisk for fisken eller hva de tåler uten å bli skadet eller dø.
Det er også usikkert om Phaeocystis spp. kan være skadelig, og i så fall, hvilke mekanismer som ligger bak. I kontrollerte forsøk med høy konsentrasjon av Phaeocystis pouchetii har det blitt vist en tydelig haemolytisk effekt av algene på røde blodceller (5). Kunnskap om eventuelle synergistiske effekter mellom ulike alger vil være viktig for å kunne forutsi alvorlighetsgrad ved oppblomstring av flere typer alger samtidig.
Veterinærinstituttet har observert flere varianter av leadbeaterin i årets vannprøver enn i prøver fra 1991 og 2019. Så langt har leadbeaterin-1 kun blitt studert i gjelleepitelcelleassayet, der det viste toksisitet, men vi trenger mer kunnskap om hvordan mangfoldet av ulike typer leadbeateriner kan påvirke fiskehelsen.
Referanser
Wang X, Fon M, Andersen AJC, Solhaug A, Ingebrigtsen RA, Samdal IA et al. Insights into the nature of ichthyotoxins from the Chrysochromulina leadbeateri blooms in Northern Norwegian fjords. Harmful Algae 2024;137:102681.
Bols NC, Barlian A, Chirino-Trejo M, Caldwell SJ, Goegan P, Lee LEJ. Development of a cell line from primary cultures of rainbow trout, Oncorhynchus mykiss (Walbaum), gills. J Fish Dis 1994;17:601–11.
Gjessing MC, Aamelfot M, Batts WN, Benestad SL, Dale OB, Thoen E et al. Development and characterization of two cell lines from gills of Atlantic salmon. Plos One 2018;13:e0191792.
Wallig MA, Janovitz EB. Morphologic manifestations of toxic cell injury. I: Wallig MA, Haschek WM, Rousseaux CG, Bolon B, Mahler BW, eds. Fundamentals of toxicologic pathology. 3rd ed. London: Academic Press, 2018:59–81.
van Rijssel M, Alderkamp AC, Nejstgaard JC, Sazhin AF, Verity PG. Haemolytic activity of live Phaeocystis pouchetii during mesocosm blooms. Biogeochemistry 2007;83:189–200.